Se ve como un acto normal el aguantarse un estornudo. Hoy en día y tal y como está el asunto con la covid, esa tendencia se ha agravado.
No obstante, este acto, aparentemente inofensivo, puede conllevar un gran peligro para tu salud. ¿Sabes las razones por las cuáles esto es peligroso? Te lo explico en el siguiente artículo.
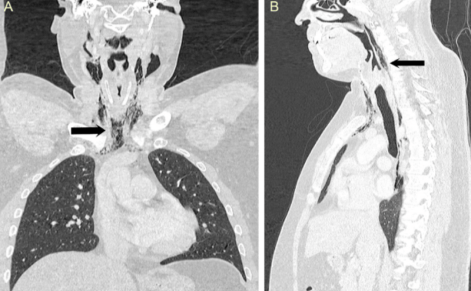
5Conlleva peligros
Y es que, aguantarnos el estornudo puede causarnos un gran peligro para nuestra salud. En primer lugar, porque retenerlo es un acto desnaturalizado.
Lo normal es hacerlo y lo contrario es hacernos daño. Después, porque actuar de esta manera, aparentemente es inofensivo, pero no es así. Por culpa de no expulsar los intrusos de nuestro cuerpo podemos agravar infecciones, e incluso ocasionar una variedad de daños colaterales.





