Un accidente cerebrovascular isquémico o ictus isquémico ocurre cuando se bloquea una arteria del cerebro.
El bloqueo puede ocurrir cuando se forma un coágulo de sangre o un fragmento de placa, generalmente en el corazón o en las arterias grandes que van al cerebro y luego se mueve a través de las arterias hasta el cerebro.
Un accidente cerebrovascular trombótico es un coágulo de sangre que se forma dentro de una arteria en el cerebro. El coágulo interrumpe el flujo sanguíneo y provoca un derrame cerebral.
¿QUÉ ES UN ICTUS ISQUÉMICO?
El accidente cerebrovascular isquémico ocurre cuando el bloqueo de una arteria provoca un suministro inadecuado de sangre y oxígeno al cerebro. El accidente cerebrovascular isquémico es la forma más común de accidente cerebrovascular y representa el 87 por ciento de todos los accidentes cerebrovasculares.
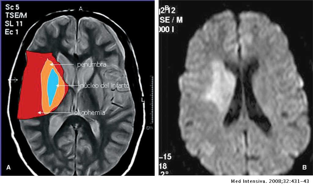
El cerebro depende de la sangre fresca para transportar oxígeno y nutrientes al cerebro y eliminar los productos de desecho. Si una arteria se bloquea, las células del cerebro en la región irrigada por esa arteria dejan de funcionar.
Si la arteria permanece bloqueada durante más de unos minutos, las células cerebrales comienzan a morir. Por eso es fundamental el tratamiento médico inmediato del accidente cerebrovascular.
Un ictus isquémico se puede clasificar de la siguiente manera:
- Accidente cerebrovascular embólico: se forma un coágulo de sangre o un fragmento de placa en alguna parte del cuerpo y se aloja en un vaso sanguíneo del cerebro que es demasiado pequeño para que pase
- Accidente cerebrovascular trombótico: se forma un coágulo de sangre dentro de una de las arterias que suministra sangre al cerebro o dentro de una arteria dentro del cerebro mismo.
El factor de riesgo más común de accidente cerebrovascular isquémico es la presión arterial alta. Otros factores de riesgo comunes incluyen:
- Edad mayor de 50
- Consumir más de 1 bebida alcohólica al día para las mujeres o más de 2 al día para los hombres.
- Diabetes
- Antecedentes familiares de accidente cerebrovascular isquémico.
- Colesterol alto
- Historia previa de accidente cerebrovascular
- Enfermedad de célula falciforme
- Tabaquismo y consumo de tabaco
- Dieta poco saludable, obesidad e inactividad.
Reconocer un accidente cerebrovascular rápidamente y llamar al 9-1-1 permite un diagnóstico y tratamiento más rápidos y una mejor recuperación. Las personas deben "SER RÁPIDAS" cuando se trata de un derrame cerebral.

SÍNTOMAS DE ACCIDENTE CEREBROVASCULAR ISQUÉMICO
Los signos de un ictus isquémico dependen del lado del cerebro afectado, la parte del cerebro afectada y la gravedad de la lesión cerebral. Por lo tanto, cada persona puede tener diferentes señales de advertencia de accidente cerebrovascular.
El síntoma más común de accidente cerebrovascular isquémico es la debilidad repentina de la cara, el brazo o la pierna, generalmente en un lado del cuerpo. Los síntomas del accidente cerebrovascular isquémico también pueden incluir:
- Ceguera en uno o ambos ojos.
- Dificultad para hablar (por ejemplo, dificultad para hablar)
- Mareos y vértigo
- Visión doble
- Debilidad generalizada en ambos lados del cuerpo.
- Deterioro de la conciencia (como confusión)
- Pérdida de coordinación
- Embargo
- Cambios repentinos como confusión repentina, dificultad para hablar, dificultad para entender el habla o dificultad para ver con uno o ambos ojos.
- Entumecimiento repentino de la cara, el brazo o la pierna, especialmente en un lado del cuerpo.
- Incontinencia urinaria
El accidente cerebrovascular es una emergencia médica. Si usted o alguien que conoce tiene estos síntomas, llame al 9-1-1 de inmediato.
TRATAMIENTOS DEL ACCIDENTE CEREBROVASCULAR ISQUÉMICO
Cuanto más tiempo no se trata un accidente cerebrovascular, más células cerebrales mueren y más difícil se vuelve la recuperación. Por lo tanto, es fundamental tratar el accidente cerebrovascular rápidamente para preservar la mayor cantidad de tejido cerebral posible.
Una de las opciones de tratamiento para el accidente cerebrovascular isquémico es un medicamento llamado activador del plasminógeno tisular o tPA. El activador tisular del plasminógeno (tPA) rompe los bloqueos en las arterias que causan el accidente cerebrovascular isquémico, restaurando el flujo sanguíneo crucial al cerebro.
Sin embargo, las limitaciones en el uso de tPA hacen que el diagnóstico rápido y preciso sea fundamental para los pacientes con accidente cerebrovascular.
Esto se debe a que el tPA en realidad puede empeorar el pronóstico de una persona con accidente cerebrovascular hemorrágico, y el tPA ya no mejora los resultados si no se administra dentro de las primeras 4.5 horas de la aparición de los síntomas.
Si el bloqueo ocurre en una arteria cerebral grande, la trombectomía endovascular puede ser un tratamiento eficaz. En este procedimiento, un cirujano extrae mecánicamente el coágulo de sangre rompiéndolo y extrayendo las piezas a través de un catéter o recuperando el coágulo con un dispositivo de stent.

NEURO-REHABILITACIÓN DESPUÉS DE UN ACCIDENTE CEREBROVASCULAR ISQUÉMICO
Muchas personas que han tenido un ictus isquémico necesitarán neuro-rehabilitación para ayudarlas a recuperar la función perdida como resultado del accidente cerebrovascular.
La neurorehabilitación ayuda a los supervivientes de un accidente cerebrovascular a recuperar las funciones cerebrales y a ser lo más independientes posible. La rehabilitación no revierte el daño cerebral, sin embargo, puede ayudar a las personas a lograr el mejor resultado posible a largo plazo.
Los tratamientos de rehabilitación variarán para cada persona según la ubicación en el cerebro y la gravedad de su accidente cerebrovascular. Puede proporcionarse en un hospital de cuidados intensivos, un hospital de rehabilitación o en un entorno ambulatorio.
La rehabilitación puede durar desde un mes hasta más de dos años e involucra a numerosos médicos, enfermeras y terapeutas.




