El amianto es un material que, desde hace muchísimos años (o siglos más bien), se ha convertido en uno de los materiales más usados a la hora de la construcción de casas, oficinas y demás edificaciones, si bien es verdad que cada vez se extiende más la moda de las casas de madera. Un componente que también se le conoce como asbesto y que posee multitud de usos.
El problema es que el empleo del amianto también pude ser nocivo y seriamente perjudicial para la salud de las personas y, en general, para todos aquellos que entran en contacto con él (todo lo contrario que sucede con los arándanos). Y lo peor de todo esto es que la mayoría de los ciudadanos desconocen los problemas que pueden acarrear la convivencia con este material.
Por eso precisamente hemos elaborado este reportaje, para que seas consciente de los graves problemas de salud que pueden acarrearte el estar expuesto al amianto. Lee con atención porque es muy importante que entiendas qué es el amianto, sus propiedades y sus principales inconvenientes.
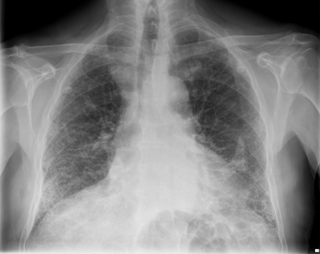
3El amianto es un cancerígeno

Por desgracia, el problema con el uso del amianto es que es muy peligroso y puede dañar seriamente la salud de aquellos que se exponen a él. Ya en el siglo I después de Cristo muchos de los esclavos que se dedicaban al tejido del amianto morían de manera prematura. Y a esto se sumaron multitud de problemas que, tiempo después, se vincularon al cáncer.