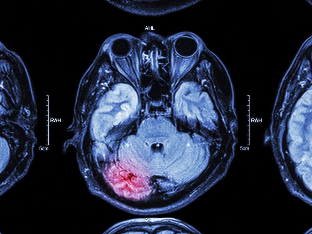
El estrés y las muchas afecciones como el consumo de alcohol, día tras día pueden ocasionar que el cerebro con el paso del tiempo corra riesgo de sufrir alguna lesión. Y cabe la posibilidad de que se presente y sea un ictus, en el siguiente articulo explicaremos de que trata además de mucha información importante y de que debes hacer para prevenirlo.
9¿Cuál es la principal causa de que se formen coágulos?
La coagulación se forma principalmente por la fibrilación auricular, una arritmia frecuente, que se produce en personas mayores de 40 años, y de edad avanzada. Y estas permiten que se aumente el riesgo de sufrir un ictus y dando origen al uso de anticoagulante, pero puede que no todos lo requieran, esto dependerá del riesgo y del estado de salud del paciente si es hipertenso o diabético.
