Los besos son asociados como un gesto de afecto cariñoso y dulce, entre las personas que se aprecian, o que sencillamente queremos expresar afecto; sin embargo olvidamos que con ellos pueden producirse un intercambio de virus y bacterias. Pero esto resulta algo contradictorio, pues estos son necesarios para reforzar el sistema inmunológico, sin embargo hay que evitarlos a veces.
Sin necesidad de alarmarte, es importante recordar que puedes transmitir bacterias con tan solo un beso, y que hay enfermedades que puede transmitirte un beso, es por ello que hoy hablaremos de la enfermedad del beso que afecta a millones de personas, que puede que se inicie con un beso, pero esta permanece en la saliva de la personas y puede trasmitirse al estar en contacto con otros elementos.
Conoce a continuación de que trata la enfermedad del beso, cuáles son sus síntomas, como prevenirla y si repite, sigue leyendo para que te enteres de ello y mucho más, para que tomes las previsiones concernientes y evitar el contagio que afecta a muchas personas de lo más común, y que causa complicaciones si te cuidas.
¿Qué es la enfermedad del beso?

La enfermedad del beso, es una infección producida en la mayoría de los casos por el virus de Ebstein-Barr, la cual generalmente es benigna y que se resuelve por sí sola habitualmente. Se le llama también enfermedad de los enamorados, pues se contagia por las gotas de saliva, siendo los niños pequeños fáciles de contagiarse.
¿Cuáles son los síntomas de la enfermedad del beso?
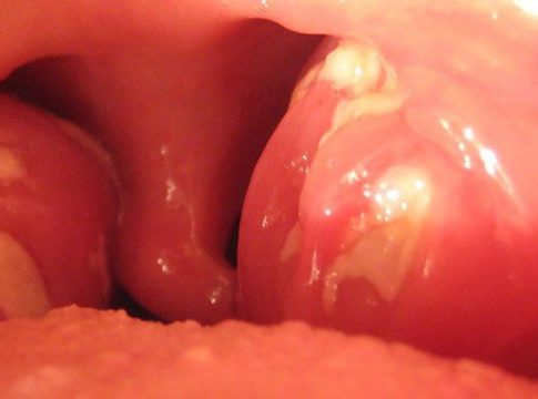
Los síntomas característicos de la enfermedad del beso pueden llegar a confundirse con una amigdalitis aguda, pues son: fiebre, dolor de garganta y exudados amigdalares. Pero también suelen presentarse otros síntomas como:
- Cansancio, también conocido como astenia.
- Falta de apetito.
- Inflamación del hígado, hepatomegalia.
- Inflamación del bazo, esplenomegalia.
- Inflamación de los ganglios, adenopatías.
¿Cuál es el tratamiento de la enfermedad del beso?
El tratamiento de la enfermedad del beso, por lo general es terapéutico ya que es sintomático, es decir, se tratan los síntomas, por ejemplo para la fiebre y malestar se receta paracetamol. Para el agotamiento se deberá guardar reposo en casa y no se forzara a comer, aunque si se le deben dar abundantes líquidos.
Es muy importante que el paciente no se auto medique, pues corre el riesgo de enfermarse más, o causar complicaciones, como por ejemplo tomar ácido acetilsalicílico, porque posiblemente desarrolle una enfermedad de origen vírico, llamada síndrome de Reye, la cual afecta a el hígado y el cerebro. Por eso es muy importante guardar reposo e hidratarse constantemente.
¿Puede volver a sufrirse de la enfermedad del beso?
La enfermedad del beso es producida por el virus de Ebstein-Barr y esto deja huella en la sangre para siempre por los anticuerpos, tal cual como ocurre con la varicela.
Pero una vez que se sufre la enfermedad, el organismo genera anticuerpos que lo enfrentan y protegen de una nueva infección, por lo tanto para evitar contagiarse de debe tomar medidas como lavarse las manos con frecuencia.
Aunque si la pasas siendo adulto, es muy común que la enfermedad del beso, venga de la infancia; un niño puede contagiarse si tiene contacto con un adulto que la esté sufriendo.
¿Qué pacientes presentan los síntomas de la enfermedad del beso?

En la enfermedad del beso pueden pasar desapercibidos los síntomas en los niños más pequeños, ya que posiblemente los síntomas sean pocos, pero en los adolescentes y los adultos, por lo general suelen presentarse todos los síntomas. Estos últimos se encuentran muy afectados por la fiebre y el cansancio, que llega a durar varios días semanas.
Cuando lo más pequeños se contagian, los síntomas son más leves y mejoran a los pocos días e incluso no pasan de ser mucosidad, fiebre o decaimiento, por eso a veces no se distingue de otros virus. Por ello es mejor llevarlo al médico para que los observe y confirme la enfermedad del beso por medio un análisis de sangre.
¿Cómo se contagia la enfermedad del beso?
La enfermedad del beso se llama así porque precisamente se puede transmitir por medio de un beso, de la tos o del estornudo, ya que se contagia mediante la saliva. O compartir vasos, cubiertos, cualquier otro artículo que contenga saliva del paciente, aproximadamente el 95% de la población mundial ha sido afectado por enfermedad alguna vez en la vida.
La enfermedad del beso puede permanecer en las personas activa sin que les genere molestias, debido a que ya paso, y se les conoce como portadores sanos, y pueden transmitir el virus a otras personas por su saliva sin requerir de presentar síntoma de la enfermedad. Para los especialistas esta afección sigue activa hasta que no deje de tener fiebre el paciente.
Si en un día entero, no se le ha subido la temperatura al paciente se determina que se ha superado la enfermedad del beso, sin embargo el decaimiento general puede durar un periodo de tiempo mayor. Por ello es importante que la persona siga en reposo por un poco más tiempo para recuperarse por completo y hacer una vida normal nuevamente, sin recaídas.
¿Cómo evitar el contagio de la enfermedad del beso?
Cuando una persona tiene la enfermedad del beso, o que la ha pasado muy recientemente, es conveniente tomar precauciones para así prevenir el contagio, las cuales mencionaremos a continuación:
- Lavarse las manos con frecuencia.
- No compartir vasos, cepillos de dientes, cubiertos o cualquier objeto que pueda haber entrado en contacto con la saliva de la persona.
- Conservar ser cuidadoso en los meses posteriores, ya que el virus de Epstein-Barr se encuentra en la saliva del paciente mientras tenga los síntomas, y permanece por varios meses tras desaparecer los malestares, por eso hay que seguir teniendo precaución.
¿Esta enfermedad repite?
La enfermedad del beso crea inmunidad, lo cual significa que la personas una vez totalmente curada, no suele desarrollar la afección pero, si hay casos de que repite el virus en aquellas personas que han sufrido trasplantes.




