Una vacuna contra la COVID-19 basada en nanopartículas y desarrollada por científicos del Scripps Research (Estados Unidos) provoca respuestas inmunitarias que sugieren una protección muy potente y amplia contra el SARS-CoV-2 en un estudio preclínico.
Los resultados, publicados en la revista 'Science Advances', deben confirmarse en ensayos con humanos, pero apuntan a la posibilidad de lograr una inmunidad potente y duradera contra todas las variantes principales del SARS-CoV-2.
Esta vacuna experimental no utiliza virus, ARN mensajero ni copias sueltas de la proteína de la espiga del SARS-CoV-2, y en su lugar está hecha de proteínas que se autoensamblan en estructuras de nanopartículas similares a las del virus.
Los investigadores descubrieron que, en ratones, estas estructuras de nanopartículas provocan respuestas inmunitarias que neutralizan poderosamente la cepa original de Wuhan del SARS-CoV-2, y con la misma potencia todas las demás variantes principales de interés, incluida la variante delta de rápida propagación.
Los científicos también examinaron las raíces celulares de la inmunidad inducida por su vacuna experimental, mostrando cómo sus partículas similares a las de un coronavirus -en comparación con las copias sueltas de la proteína de la espiga del SARS-CoV-2 utilizadas por otras vacunas- tenían un compromiso mucho más largo y fuerte con las células inmunitarias que dan lugar a la inmunidad a largo plazo.
"Estos resultados son muy prometedores, y otros investigadores en el campo de las vacunas podrían considerar la adopción, como puntos de referencia estándar para la comparación de vacunas, de las medidas de compromiso de la vacuna con las células inmunes que hicimos en este estudio", explica el autor principal del estudio, Jiang Zhu.
El diseño de las nanopartículas autoensambladas es uno de los que Zhu y sus colegas han utilizado en los últimos años para otras vacunas candidatas, incluidas las del VIH, el virus de la hepatitis C y el virus del Ébola. Se trata de una esfera de nanopartículas de proteína en la que se incrustan proteínas más pequeñas que imitan las proteínas externas del virus.
Las proteínas de espiga utilizadas para la vacuna son más estables, y en ese sentido se cree que pueden estimular mejor una respuesta inmunitaria, que las que se encuentran en el virus real y en las producidas por las actuales vacunas de ARNm y de vector viral COVID-19. El resultado es una estructura que se asemeja en gran medida a la de una partícula real de SARS-CoV-2 y que estimula poderosamente una respuesta inmunitaria contra el virus, y sin embargo, a diferencia de otros conceptos de vacunas proteicas, se autoensambla y puede fabricarse con relativa facilidad a gran escala.
En marzo, Zhu y sus colegas informaron de los primeros resultados igualmente alentadores de los estudios de esta vacuna candidata, incluido el hallazgo de que la sangre de los ratones inmunizados con ella puede neutralizar no sólo el SARS-CoV-2 sino también su primo lejano, el virus SARS-CoV-1, que causó un grave brote principalmente en Asia oriental en 2002-04.
En el nuevo estudio, los investigadores llevaron a cabo un conjunto más amplio de pruebas, entre ellas la capacidad del plasma sanguíneo con anticuerpos de ratones inmunizados para neutralizar diferentes variantes del SARS-CoV-2.
Los investigadores descubrieron que el plasma podía neutralizar poderosamente (bloqueando la infección de célula a célula en el plato de laboratorio) no solo la cepa de referencia del SARS-CoV-2 "Wuhan", sino también, con igual eficacia, la variante B.1.1.7 "alfa" que surgió en el Reino Unido, la variante B.1 .351 "beta" que surgió en Sudáfrica, la variante P.1 "gamma" que surgió en Brasil y una versión de la variante B.1.617 "delta" que surgió en la India y que sigue siendo la variante más dominante y de más rápida propagación.
A continuación, Zhu y su equipo aislaron de ratones inmunizados un conjunto de anticuerpos específicos que explican esta amplia capacidad de neutralización, y demostraron que un diseño de vacuna basado en proteínas de espiga suelta -como las actuales vacunas de ARNm y vectoriales- induce anticuerpos de menor amplitud de neutralización.
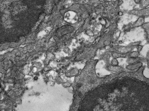
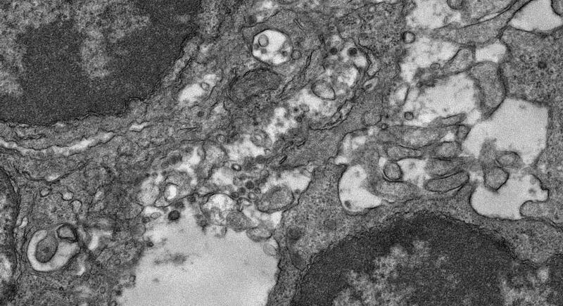
Por último, los investigadores examinaron el proceso biológico de inducción de la inmunidad, mostrando con microscopía electrónica en los ganglios linfáticos de los ratones inmunizados cómo sus partículas de la vacuna experimental se enganchan a las células dendríticas foliculares (células inmunitarias que recogen y presentan las partículas virales para ayudar a iniciar una respuesta inmunitaria robusta), así como a las células B productoras de anticuerpos.
Compararon este acoplamiento con el de un diseño de proteína de espiga suelta, y los resultados sugirieron, según varias medidas, que la nueva vacuna candidata basada en nanopartículas es muy superior en su capacidad de estimular estos elementos inmunitarios. Por ejemplo, las partículas de la vacuna basada en nanopartículas se desplegaron cuatro veces más en las células dendríticas foliculares, y estimularon respuestas de células B mucho más largas y grandes, conocidas como reacciones del centro germinal.
El estudio sugiere, por tanto, que el diseño basado en nanopartículas, si finalmente se aprueba su uso tras los ensayos clínicos, que Zhu espera que comiencen el año que viene, podría superar en gran medida a otras vacunas contra la COVID-19 en cuanto a la potencia de la protección, la amplitud de la misma y quizás también la duración de la protección.
Además, según Zhu, los estudios realizados por su equipo sobre la capacidad de la vacuna candidata para atraer a las células dendríticas foliculares y estimular las células B, así como para provocar anticuerpos ampliamente neutralizantes específicos de los picos, sugieren un uso más amplio de estas medidas como puntos de referencia estándar para evaluar las vacunas experimentales en las pruebas preclínicas.
"Sería una forma más uniforme y basada en la evidencia de evaluar la promesa de los candidatos a vacunas en las primeras etapas de desarrollo", afirma Zhu.




