El agua oxigenada posee muchas propiedades que quizás desconocías. De hecho, la mayoría de las personas piensan que únicamente funciona para desinfectar. Pero no es así, existen numerosos beneficios que puedes empezar a sacarle partido ahora mismo y te vas a sorprender por lo mucho que podrías hacer con este producto. Te vamos a mencionar 10 usos que realmente merecen la pena que pongas en práctica. Y es que, nunca sabes cuando puedes verte en apuros y la solución puede ser más sencilla de lo que te imaginabas. Por eso, sigue leyendo, ya que este tema te será bastante útil como ama o amo de casa.
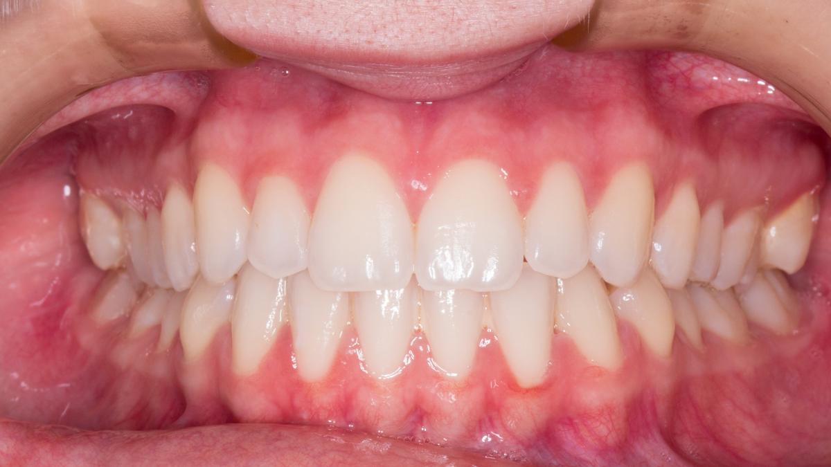
8Cuida tus encías con agua oxigenada
Este es otro de los usos que le puedes dar al agua oxigenada. Y se trata de que mantengas tus encías sanas mediante la utilización de este artículo tan económico. Entendiendo que tiene un poder de limpieza, puedes aprovecharlo para que no sufras de irritaciones en tu boca y tus encías se mantengan saludables. Te desinfecta la boca, evita las inflamaciones y hasta te protege la garganta. Debes mezclarla con agua fresca y hacer gárgaras.
