La trombosis de senos venosos cerebrales (TVC) se está reconociendo como un trastorno más común y tratable en pacientes jóvenes.
TROMBOSIS DE SENOS VENOSOS CEREBRALES
Desafortunadamente, los dolores de cabeza son quejas abrumadoramente comunes en el departamento de emergencias, por lo que la trombosis de senos venosos cerebrales puede ser fácil de pasar por alto ya que tiene hallazgos clínicos y de imagen confusos.
Los médicos de medicina de emergencia deben estar al tanto de las diversas presentaciones clínicas, así como de los factores de riesgo. Si bien solo representa alrededor del 1% de todos los accidentes cerebrovasculares, su mayor proporción de accidentes cerebrovasculares en pacientes jóvenes lo hace más relevante.
Curiosamente, se encontró una incidencia del 9,3% de trombosis de senos venosos cerebrales en un estudio de patología, lo que sugiere que está muy infradiagnosticado en el servicio de urgencias.
FACTORES DE RIESGO
Los factores de riesgo más claros de trombosis de senos venosos cerebrales son los estados de hipercoagulabilidad. Esta categoría es amplia e incluye malignidad, estado inflamatorio como la enfermedad de Crohn, traumatismo mecánico, embarazo y trombofilia genética.
PRESENTACIÓN CLÍNICA
La inmensa mayoría de los pacientes presentan cefalea. Los patrones de presentación son secundarios a la patología subyacente asociada a la trombosis cerebral.
La isquemia local por alteración del drenaje venoso y edema y hemorragia secundarios que conducen a hipertensión intracraneal puede tener diferentes déficits, pero en general causan hipertensión intracraneal y, por tanto, dolor.
El carácter del dolor de cabeza es único de la migraña clásica en que típicamente empeora con el esfuerzo, como la maniobra de valsalva y cuando está en decúbito.
Además, hasta el 40% de los pacientes presentan convulsiones por primera vez. Los pacientes también pueden tener déficits focales y cambios en el estado mental en una presentación más grave, pero es poco probable que estos casos se pasen por alto, ya que obtendrían más investigación e imágenes más avanzadas que las que podrían recibir un paciente aislado con dolor de cabeza o convulsión por primera vez.
MODALIDAD DE IMAGEN DE ELECCIÓN
La tomografía computarizada, la venografía por tomografía computarizada (CTV), la resonancia magnética y la MRV (tiempo de vuelo o MRV con contraste) se encuentran entre las opciones radiológicas para diagnosticar la TVC, pero en el departamento de emergencias, tanto el tiempo como el costo tienen mayor importancia que en el entorno subagudo .

Las tomografías computarizadas de la cabeza sin contraste
Se realizan de manera rutinaria para los dolores de cabeza o los nuevos hallazgos neurológicos en el servicio de urgencias, pero tienen baja sensibilidad para la trombosis venosa y omiten una gran proporción de pacientes.
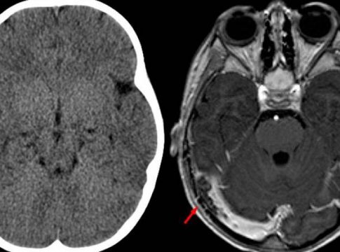
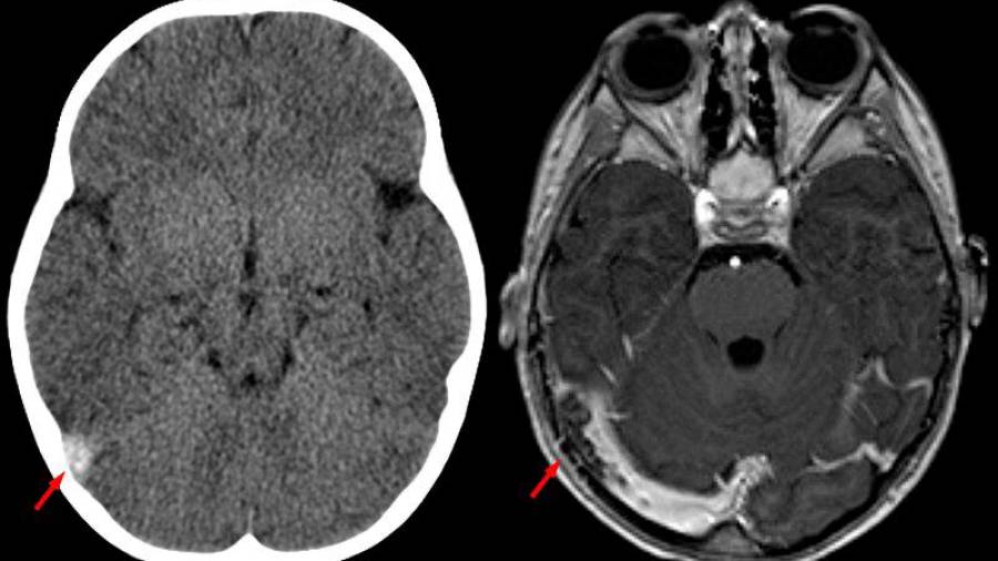
La TC cerebral simple solo identifica las anomalías encontradas en la TVC alrededor del 30% de las veces. El principal hallazgo en la TC simple es una hiperdensidad de una vena cortical o seno dural con posibles signos secundarios o indirectos como hemorragia o edema.
La RM
Ha sido el método más comúnmente utilizado para identificar la TVC históricamente, pero no se ha realizado ningún ensayo controlado aleatorizado que compare la RM con la venografía por TC.
CTV
Ha demostrado ser un método confiable para investigar la estructura de las venas cerebrales, con una sensibilidad reportada del 95% (7,8). La CTV puede mostrar un defecto de llenado dentro de la vena o del seno, el clásico signo de “delta vacío”, en el que se presenta una hipodensidad central (Figura 2).
RESUMEN
La venografía por TC está ahora disponible, es más rápida, más barata y como si no más confiable para detectar la trombosis venosa cerebral que la RM, aunque los datos son limitados.
En las mujeres que toman anticonceptivos hormonales con dolor de cabeza nuevo o que empeora, los médicos deben considerar la trombosis venosa cerebral y obtener una prueba de diagnóstico adecuada para evaluar esta enfermedad.
COMENTARIO DE EXPERTOS
Esta es una excelente revisión de una causa común y tratable de dolores de cabeza que a menudo se pasa por alto.
El diagnóstico típico de la cefalea atraumática en trueno agudo se centra en la detección de hemorragia mediante TC de la cabeza y la punción lumbar (aunque esta última puede no ser necesaria si la TC de la cabeza normal se obtiene dentro de las 6 horas posteriores al inicio del dolor de cabeza).

Este es un enfoque confiable para detectar hemorragia subaracnoidea, como en un aneurisma roto o hemorragia parenquimatosa por una malformación arteriovenosa o un accidente cerebrovascular hemorrágico hipertensivo.
Desafortunadamente, el abordaje CT / LP no es confiable para la detección de trombosis venosa.
Una forma de aumentar la detección de TC de cabeza para TVC es generar preocupación por la entidad con antecedentes clínicos.
Los hallazgos de TVC en la TC de cabeza regular pueden ser sutiles, pero el diagnóstico a menudo se puede hacer si el radiólogo tiene experiencia y se proporciona el contexto clínico. Creemos que la sensibilidad del 30% para CVT en la TC de la cabeza suena baja en las manos adecuadas.
En mi experiencia, la inmensa mayoría de los pacientes que acuden al servicio de urgencias con TVC son mujeres jóvenes deshidratadas que toman ACO. En un entorno hospitalario, aparte de la craneotomía reciente, los pacientes oncológicos sometidos a tratamiento parecen ser los más comunes.




