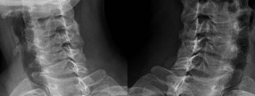
La espalda es el mayor apoyo del cuerpo y el más importante, es por esto que cuando algunos problemas o lesiones en la lordosis cervical (rectificación cervical o la hiperlordrosis) afectan a la columna, la movilidad del cuerpo así como la flexibilidad se suelen limitar.
Se le llama lordosis cervical a la curvatura que se forma en la columna, específicamente hacia adelante. La columna está compuesta por las vértebras, las cuales (a pesar de que no lo parezca) no tienen una estructura recta. En realidad la columna está compuesta por dos curvas: lordosis y cifosis, las cuales diariamente se encargan de soportar todo el peso del cuerpo.
Aunque algunos factores como la falta de actividades físicas o la indebida manipulación del peso pueden generar algunas afecciones, como la rectificación cervical o la pérdida de la curvatura. Como resultado de esto se suelen generar otros problemas derivados, como la artrosis o la formación de hernias.
Afecciones en la lordosis

- La lordosis normal es cuando la columna cuenta con curvas.
- En cambio la hiperlordosis se produce cuando las curvas de la columna se acentúan más de lo normal. La hiperlordosis lumbar suele ser bastante dolorosa.
- Por otro lado la rectificación lumbar es la pérdida de las curvas normales de la columna. Como resultado de esto la persona afectada puede sentir mucho dolor o tener una postura arqueada. Esta afección suele ser bastante común durante el embarazo o al padecer problemas de sobrepeso.
- La inversión de arco cervical se produce cuando la rectificación lumbar evoluciona.
Causas de la pérdida de la lordosis cervical

Las curvas de la columna con el tiempo suelen comenzar a perderse con el tiempo, aunque algunos factores suelen acelerar este proceso:
- La falta de actividades físicas, el sedentarismo y la edad.
- El estrés puede afectar la curvatura de la columna. Ya sea estrés físico o mental, el estrés repercute en la columna.
- Algunas emociones como la tristeza, la depresión o el desanimo pueden influir en la pérdida de la curvatura de la espalda. Esto se debe a que generalmente, una persona con ese estado de ánimo, no se suele preocupar por su postura y por ende puede causarse alguna lesión.
Cuando la columna pierde su curvatura natural, lo más recomendable es asistir a un especialista. El médico de cabecera podrá recetar algún medicamento o realizar terapia física. De esta forma el paciente podrá mejorar su flexibilidad. Aunque dependiendo del caso, es posible que se pueda recomendar la pérdida de peso o la disminución del estrés.
Causas y síntomas de la rectificación de la lordosis cervical

Los orígenes de esta afección pueden ser diversos:
- Latigazos cervicales.
- Mala postura.
- Estrés físico y emocional.
- Traumatismos.
- Enfermedades reumáticas.
- Lesiones.
- Malformaciones congénitas.
Por otro lado, los síntomas que pueden alertar esta afección pueden ser los siguientes:
- Jaquecas y migrañas.
- Hormigueo y adormecimiento en las extremidades superiores.
- Sensación de vértigo y mareos.
- Insomnio.
- Visión borrosa.
- Tinnitus o sensación de zumbido en los oídos.
Causas y síntomas de la hiperlordrosis

Entre algunos de los síntomas que pueden presentar el paciente son:
- Dolor en la zona inferior de la espalda, el cual puede ser leve o severo según los movimientos que realice.
- Los glúteos suelen ser bastante prominentes desde perfil a causa de la curvatura excesiva de la columna.
- Daño en la columna y en los tejidos blandos de la zona lumbar.
- Rigidez y estiramiento en los músculos de la región baja de la espalda.
Por otra parte, entre las causas de la hipercrisis están las siguientes:
- La mala postura, especialmente cuando se está sentado puede afectar la región lumbar de la columna. Como resultado de esto, la presión ejercida sobre la zona lumbar suele incrementar de forma gradual la curvatura la columna.
- La obesidad también suele influir, ya que el exceso de peso causado por la grasa puede afectar la región baja de la espalda. Como resultado de esto la columna lumbar se doble como una <<C>>.
- Otro factor que suele influir es la falta de actividad física, pues esto suele debilitar los músculos del tronco y la pelvis. Si los músculos de debilitan, no podrán soportar el peso de la columna y por ende esta se terminará curvando.
Prevención de las afecciones de la espalda

La mejor forma de evitar las afecciones cervicales suelen ser las siguientes:
- Mejorar la postura.
- Evitar los movimientos bruscos o mal ejecutados.
- Cargar los objetos pesados con mucho cuidado.
- Cambiar la postura mientras se está de pie o sentado.
En otras palabras, lo mejor para evitar cualquier malestar de la columna, y del cuerpo, es ser conscientes sobre las acciones y actividades que pueden causar malestares. Una vez que eres consciente de esto, podrás evitar estas malas costumbres.
Si bien este no es un procedimiento sencillo, con el tiempo podrás corregirte a ti mismo. Además de esto, es fundamental la práctica de actividades físicas. Una rutina de ejercicios diarios puede ayudar a evitar cualquier afección en la columna. De esta forma podrás tener una vida tranquila y sin molestias en la espalda




