¿Te preocupan tus encías? Déjanos decirte que no es sólo a ti. Para tener una buena salud bucodental no basta con que nos preocupemos por cepillarnos los dientes tres veces al día, sino que hay que tomar en consideración otras dolencias que pueden afectar a nuestra estructura mandibular, y allí es donde entren entran en el juego las encías.
Muchas veces, la razón por la que visitamos al dentista ni es para que nos revise o nos arregle un diente o una muela, sino que acudimos porque tenemos una dolencia que está afectando a nuestras encías, de modo que ya es tiempo de que te informes de cuáles son las principales enfermedades que se pueden sufrir en las encías.
¿Por qué se producen enfermedades en las encías?

Principalmente, las dolencias en las encías son producidas por causa de la aglomeración de una especie de capa de biofilm en la boca, y aunque no lo creas, se trata de una estructura que se forma por microorganismo que pueden llegar a habitar en tu cavidad bucal, lo que causa que se produzcan enfermedades que no sólo se limitan a una caries, sino que derivan en casos más serios como una gingivitis.
Hay otras dolencias

Otra dolencia que puede presentarse es lo que se llama un flemón dental. En realidad, son muchas las dolencias que se pueden presentar en las encías y no te vayas a pensar que todos los microorganismos son malos y te van a causar una enfermedad, porque tienes que saber que es normal que dentro de nuestra boca convivan microorganismos beneficiosos, que son necesarios para la realización de determinados procesos, incluso digestivos.
El problema es cuando tenemos una sobrepoblación de microorganismos, o que dejamos que nuestra boca sea invadida por microorganismos malos, por causa de que no hemos tenido la divida higiene bucal. Para que te hagas una idea, hablaremos de las más extendidas enfermedades periodontales que pueden afectar tus encías:
Gingivitis

Es posible que la conozcas como una inflamación en las encías, de hecho, es la primera causa por la que las personas visitan al dentista cuando sentimos una molestia en la encía. Es cierto que se trata de una enfermedad que es leve, pero causa un enrojecimiento, una inflamación o una irritación bastante molesta en la zona de las encías, rodeando la cavidad en la que se encuentre el diente o la muela.
Pero el hecho de que esté calificada como una dolencia leve, si no es tratada en etapas tempranas, puede devenir en una dolencia mucho más grave, convirtiéndose en una periodontitis.
La cifra te va a asombrar, porque se calcula que un 90% de la población en España sufre de gingivitis, por causa de tener una inadecuada higiene bucal. Por ello, es muy importante que adoptemos buenos hábitos de higiene bucodental, hay que cepillarse los dientes, por lo menos dos veces al día, hacer uso del hilo dental, y no dejar de acudir regularmente al odontólogo para que podamos prevenir la aparición de esta enfermedad y tratarla desde sus inicios.
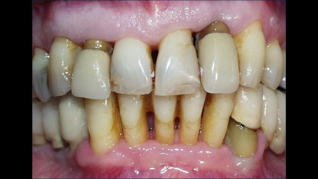
Periodontitis

Antes hemos comentado que una gingivitis no curada, puede derivar en una periodontitis. Esta dolencia consiste en una grave infección que destruye el tejido blando del diente y acaba por destruir el hueso que es lo que sostiene el diente, entonces el diente comenzará a moverse y es posible que la persona acabe por perder la pieza.
A pesar de que se trata de algo que es muy grave, una periodontitis es tratable, pero si el caso se ha complicado mucho, es posible que se tenga la necesidad de una intervención quirúrgica para erradicarla, pero los tratamiento iniciales, con los que se puede lograr una mejora sustancial de esta dolencia.
¿Cómo se trata inicialmente?

Un tratamiento inicial consiste en hacer una limpieza profunda de las bolsas alrededor de los dientes, para poder cuidar el hueso que es lo que mantiene al diente en su sitio, y que no sea afectado por esta enfermedad, pero pasar por este proceso no va a servir para nada si luego no se lleva unos hábitos de higiene bucodental adecuada y mantener hábitos que sean más saludables, evitando el tabaco o las bebidas alcohólicas.
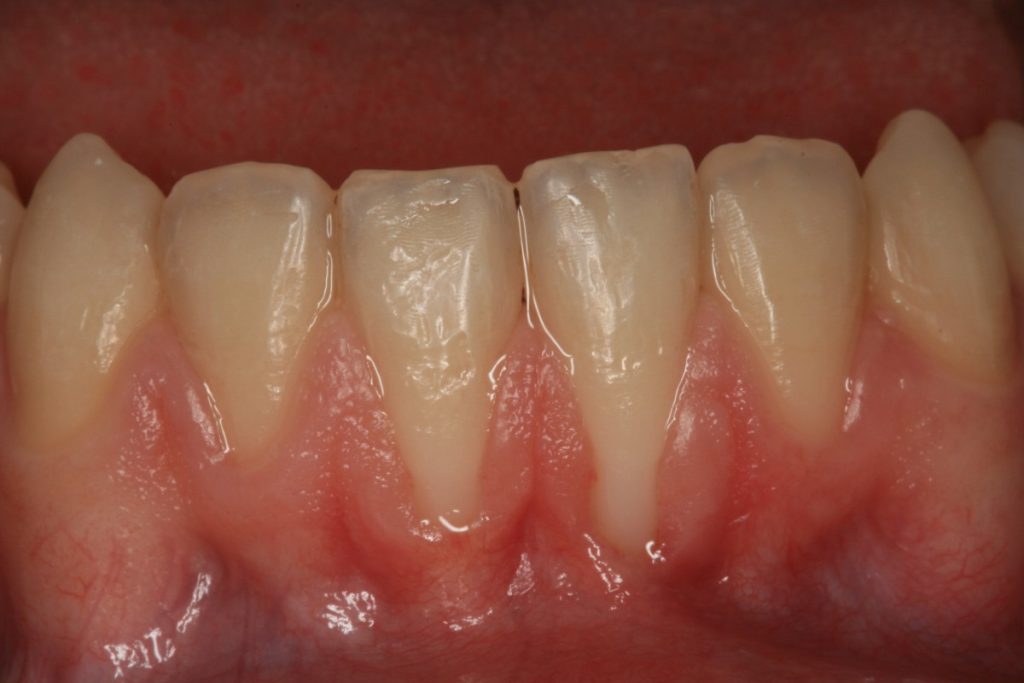
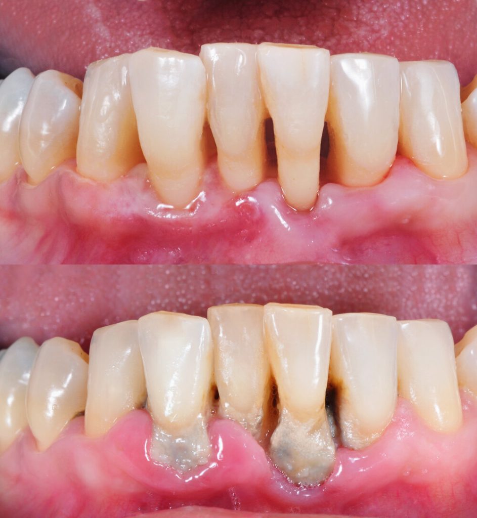
Recesión en las encías

En el momento en que sufrimos de una recesión o retracción de las encías, lo que estará ocurriendo es todo un proceso, por medio del cual la encía sufre de una retracción y dejar expuesta la raíz de los dientes. Con esta dolencia se sufre, al mismo tiempo, de sensibilidad dental a un nivel bastante alto, que puede afectar nuestro diario vivir, junto con el problema estético que ello representa, al dejar al descubierto la raíz del diente.
Periimplantitis

Suele ocurrir después de pasar por un implante dental y es un proceso de inflamación que incide en los tejidos que se sitúan alrededor del implante, ocasionando que se pierda el hueso periimplantario. Es tan seria esta dolencia que está dividida en grados desde el primero hasta el cuarto, de acuerdo con el grado de afectación de la morfología y del tamaño de la destrucción del hueso:
- Grado uno: es la pérdida ósea horizontal.
- Grado dos: se detecta una reabsorción vertical periimplantaria que está localizada.
- Grado tres: la reabsorción periimplantaria vertical es circunferencial está avanzada.
- Grado cuatro: cuando hay pérdida ósea horizontal intensa junto con reabsorción vertical circunferencial avanzada y hay pérdida ósea.
¿Cómo puedo saber si tengo una dolencia en las encías?
Para comenzar, no en todas las personas los síntomas se presentan de la misma manera. Cada paciente tiene su propia idiosincrasia, así como también dependerá del grado en que la dolencia se encuentre y de cuál de ellas se trate.
Por supuesto que hay señales a las que tienes que estar atento, como que sientas que tus encías están inflamadas o que presentan cierta decoloración, porque no tienen ese característico color rosa pálido, o la ves bastante oscura. También tienes que estar pendiente de si tienes sangrado en las encías, pero no el sangrado normal que resulta de un cepillado enérgico de los dientes, sino un sangrado sin justificación.
¿Qué más debo tener en cuenta?

Otros signos que tienen que alertarte es que tengas mal aliento o que encuentres una secreción de pus entre los dientes, y ante cualquiera de estos signos, lo que te recomendamos es que hagas una cita de inmediato con el odontólogo para una revisión general y un diagnóstico, que será seguido de unas recomendaciones y, en algunos casos, de una medicación.