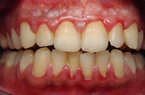
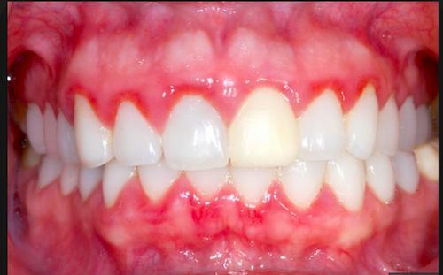
Las encías inflamadas tal como su nombre lo indica es la zona de la encía que se encuentra hinchada. Con el simple hecho de verla se podrá notar la prominencia más allá de lo normal.
Las encías inflamadas tienen algo característico que se puede ver a simple vista. El grosor y la coloración suelen cambiar e incluso en algunos casos causa dolor. Se dice además que la inflamación de encías o inflamación gingival, como también se le conoce, es muy común entre la población.
LEA TAMBIÉN: CONSEJOS PARA TENER UNA SONRISA RADIANTE
Según la Sociedad Española de Periodoncia y Osteointegración (SEPA) el 14.8% de los adultos de entre 33 y 44 años tiene las encías saludables.
Mientras que el 59.8% padece de gingivitis y el 25.4% sufre de periodontitis o piorrea. La Sociedad Española de Periodoncia también refiere que el porcentaje de encías sanas disminuye a medida que la edad avanza. Solo un 10,3% de los personas de entre 65-74 años puede presumir de tener unas encías sanas.
Como es considerado un problema frecuente, muchos no lo toman en cuenta. De hecho, la mayoría siquiera se toma la molestia en ir a un odontólogo para revisar y diagnosticar alguna dolencia o malestar que lo genere.
Pese a que muchos consideren que no es un problema relevante, la realidad es que es fundamental recibir atención médica. De esta manera se podrá determinar las causas de la inflamación de las encías y establecer un tratamiento adecuado.
¿Por qué tengo las encías inflamadas?

Se dice que las encías inflamadas pueden responder a diversos factores que van desde una simple irritación temporal debido a un alimento. O un producto que te encuentres utilizando o bien una periodontal complicada.
En función de la causa de la hinchazón, ésta se puede solucionar de diferentes maneras.
Si las encías inflamadas corresponde a una enfermedad periodontal, es importante prestarle especial atención. Y es que casi siempre la acumulación de sarro puede terminar mal ya que es precisamente desde ahí en el que se deriva la periodontitis grave.
Se debe tener en cuenta que la piorrea no solamente afecta a las encías, sino que produce daños en los huesos que sostienen los dientes. Estos, como consecuencia, terminan cayéndose.
Si tienes dudas sobre las razones por las que puedas tener las encías inflamadas, a continuación te damos una lista de posibles razones.
- Gingivitis
Es la primera fase de una enfermedad periodontal y, sin un tratamiento adecuado, deriva en periodontitis.
La gingivitis se produce por la formación de depósitos de sarro que no son eliminados durante la higiene cotidiana, tal como mencionamos. Esta enfermedad que denota encías inflamadas, se manifiesta con sangre durante el cepillado o el uso del hilo dental.
Sangrado espontáneo, la inflamación o la coloración morada son los síntomas fundamentales. El tratamiento contra la gingivitis más efectivo combina una sesión en la clínica con el seguimiento en casa con las indicaciones médicas correspondientes.
La periodontitis también ocasiona encías inflamadas

Si la gingivitis progresa y pasa a una periodontitis, la acumulación de bacterias derivará en la formación de bolsas periodontales entre la encía y el diente. Un punto crítico ya que esto da cavidad para que albergue un mayor número de bacterias.
Lo que hacen estas bacterias es destruir progresivamente los huesos, encías y tejidos que sostienen los dientes. Si no hay atención inmediata es probable que haya una pérdida de la pieza dental.
Como mencionamos anteriormente, muchas veces las encías inflamadas pueden no ser importante para las personas que lo padecen. Pero es un malestar silencioso que podría parecer menos agresivo pero si empeora es una complejidad.
Las encías inflamadas puede llegar a cubrir parte de los dientes y enmascarar la destrucción de las papilas interdentales (pequeños triángulos negros que aparecen entre los dientes).
Una vez la encía se ha desinflamado, se aprecia la destrucción del tejido.
Para curar la periodontitis es fundamental realizar un raspado y alisado radicular (curetaje), un estudio microbiológico y mediciones para llevar un seguimiento de los niveles de sarro.
Una vez que la enfermedad periodontal está curada, se debe garantizar que no vuelva a aparecer. Es necesario que el paciente siga las instrucciones sobre la higiene recomendada por el especialista.
No obstante, el paciente deberá permanecer en chequeo y acudir a las consultas reglamentarias para evitar que se retome la molestia. En la mayoría de ocasiones, el tratamiento periodontal es suficiente para curar la enfermedad.
Otras razones que ocasionan molestias

Otra razón por las que pueden aparecer encías inflamadas es a la falta de algún nutriente como vitamina C o hierro. En este caso, la solución sería llevar una alimentación más equilibrada.
Asimismo, la inflamación de las encías puede estar provocada por cambios hormonales, lo que hace que en algunos casos afecte más a las mujeres. Esto puede estar presente durante el embarazo, después del parto, en diferentes fases del ciclo menstrual o en la pubertad.
Mantenga una higiene bucal adecuada
Para evitar la irritación de encías, es necesario ser especialmente riguroso con el cepillado.
Esto implica lavarse los dientes después de cada comida tratando de llegar a todas las caras de la pieza dental.
Importante visitar al dentista al menos dos veces al año es clave para detectar posibles afecciones en nuestra dentadura y poder hacer una limpieza en profundidad. La opinión del profesional es primordial si queremos realizar un cambio estético y así guiarnos en nuestro objetivo de tener una sonrisa radiante.




