El paracetamol es el analgésico que siempre tenemos a mano en nuestro botiquín. Es muy eficaz para paliar los dolores articulares, musculares o dentales, las cefaleas, las lumbalgias o para bajar la fiebre. Aunque los especialistas lo consideran mucho más seguro que el ibuprofeno o las aspirinas, cada vez son más los que advierten de los riesgos que conlleva un consumo continuado y excesivo.
El paracetamol empezó a comercializarse en 1955 bajo el nombre de Tylenol. Hoy en día es el medicamento genérico más vendido del mundo, y está presente como principal principio activo en fármacos populares. Pero pese a esto y a que se puede comprar sin receta médica, los especialistas no dan vía libre para automedicarse con paracetamol. Debido a la popularización del medicamento, los casos de sobredosificación son frecuentes.
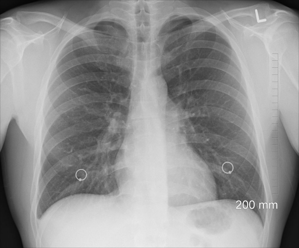
7Problemas respiratorios
Consumir paracetamol en exceso pueden producir efectos secundarios respiratorios, que incluyen la disnea o, en casos más graves, la neumonía eosinofílica.
Además, se ha probado que el abuso de paracetamol agrava los síntomas del asma. Un estudio recomienda reducir la dosis en personas asmáticas. El uso regular de paracetamol puede empeorar los síntomas del asma al reducir la presencia en la sangre del antioxidante glutation, un protector pulmonar natural.
