Un trabajo internacional, liderado por investigadores del Laboratorio Cajal de Circuitos Corticales del Centro Tecnología Biomédica de la Universidad Politécnica de Madrid (UPM), el Instituto Cajal, CSIC de la UPM, y de la Universidad Nacional de Educación a Distancia (UNED), ha mapeado por primera vez en tres dimensiones las conexiones neuronales del hipocampo, avanzando así en la comprensión del cerebro sano y sus alteraciones en las patologías.
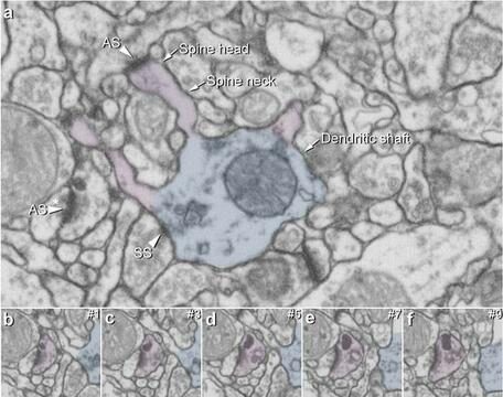
En concreto, los expertos han proporcionando la primera descripción detallada de la organización sináptica en esta parte del cerebro. Utilizando microscopios electrónicos de última generación y muestras de tejido cerebral obtenidas tras la muerte del individuo, han visualizado casi 25.000 conexiones entre neuronas.
En concreto, su análisis mostró que las sinapsis estaban más densamente empaquetadas en algunas capas del hipocampo que en otras. Aunque se observaron muchos tipos diferentes de conexiones, la mayoría de las sinapsis eran excitadoras y se establecían con las "espinas" dendríticas, estructuras microscópicas que fueron descubiertas por Cajal.




