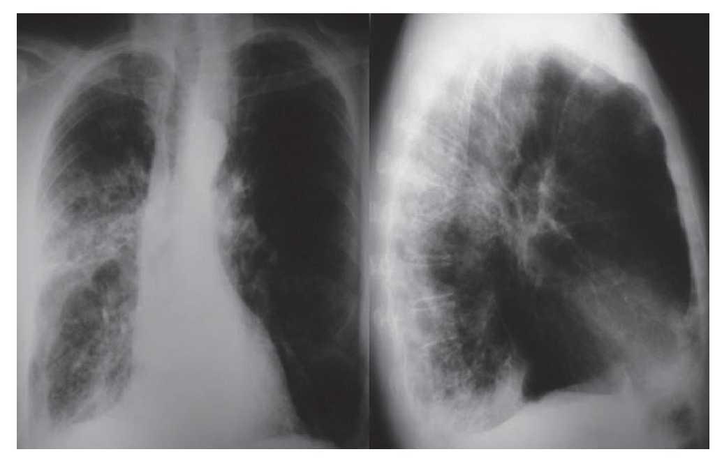
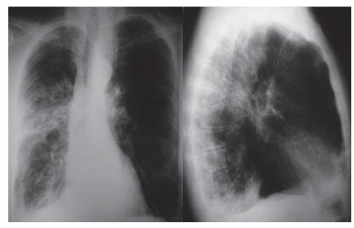
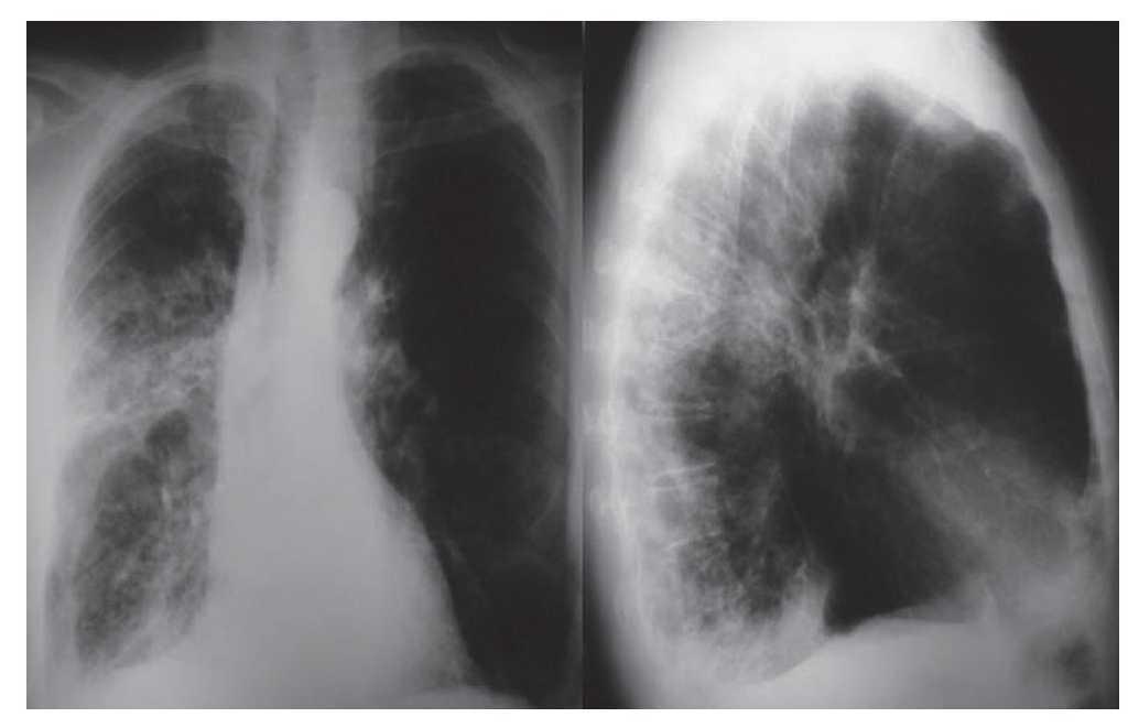
Un equipo de investigadoras del Centro Nacional de Microbiología del Instituto de Salud Carlos III (ISCIII) ha descubierto que TREM1 regula la respuesta inmunitaria antifúngica en la aspergilosis pulmonar invasiva, lo que supone un avance en el conocimiento de la aspergilosis pulmonar invasora, una infección causada por hongos del género 'Aspergillus' que afecta al sistema respiratorio y que puede provocar graves neumonías.
El artículo, publicado en la revista 'Virulence' y firmado por científicas del Laboratorio de Referencia e Investigación en Micología y de la Unidad de Inmunobiología, demuestra por primer vez el papel clave en el desarrollo de la enfermedad, del receptor TREM1, un receptor de la superficie celular que se expresa en células inmunitarias responsables de combatir la infección.
La incidencia de enfermedad fúngica invasora (EFI, por sus siglas) con mal pronóstico ha aumentado en las últimas décadas en países desarrollados debido a factores como el aumento de personas trasplantadas y la intensificación de tratamientos quimioterapéuticos contra el cáncer. En estos pacientes oncohematológicos y transplantados, este tipo de infecciones constituyen una complicación grave que genera un impacto muy negativo en el pronóstico de sus enfermedades de base ya existentes.
De los miles de especies fúngicas que existen en la naturaleza, tan sólo un pequeño porcentaje puede causar enfermedades en el ser humano. 'Aspergillus fumigatus' es el hongo filamentoso que causa el mayor número de casos de EFI en pacientes inmunodeprimidos. La infección por A. fumigatus se adquiere mediante la inhalación de sus esporas, que alcanzan el tracto respiratorio y los alveolos pulmonares. Cuando las esporas del hongo se inhalan, entran en contacto con los macrófagos alveolares y otras células del sistema inmunitario, que inician una respuesta defensiva.
La investigación parte del reconocimiento de componentes de 'A. fumigatus' por parte del sistema inmunitario innato, y su subsecuente señalización, que está relacionada con la actividad de receptores de reconocimiento de patrones (PRR). Estos receptores están localizados en las células inmunitarias que identifican y combaten moléculas asociadas a patógenos invasores. Las autoras explican que en los últimos años se ha identificado una nueva familia de receptores PRR denominados TREM, entre los que TREM1 fue el primero en caracterizarse.
TREM1 es un receptor de la superficie celular que está expresado en células inmunitarias como monocitos, macrófagos y neutrófilos, y cuyo papel es muy relevante en la respuesta inflamatoria para combatir infecciones. Además, TREM1 también puede ser secretado en una forma soluble (a la que se denomina sTREM1) y funcionar como marcador diagnóstico de la infección tras ser detectado en fluidos biológicos de muestras humanas.
ALTERACIONES GENÉTICAS
Las principales firmantes del trabajo son la doctora Leticia Bernal Martinez, investigadora de la Red de Investigación en Enfermedades Infecciosas (REIPI), y la doctora Laura Alcázar Fuoli, investigadora principal de esta línea de investigación. Junto a otros miembros del equipo y con la colaboración de grupos internacionales han analizado los niveles de sTREM1 en muestras de pacientes con aspergilosis invasora, y han demostrado que los pacientes que desarrollaban la enfermedad presentaban un aumento significativo de este marcador que no se producía en quienes no sufrían la infección.
También han observado que la regulación de la vía TREM1 puede estar determinada por el fondo genético del paciente, ya que diversos polimorfismos de nucleótido único (pequeños cambios genéticos conocidos como SNP) determinan alteraciones en los niveles de sTREM1 y otras proteínas en la vía de señalización como citocinas inflamatorias.
Además de confirmar el papel diagnóstico de este marcador en muestras de pacientes, el trabajo también investiga la función de este receptor en la respuesta inmunológica frente a A. fumigatus. Los resultados de esta parte de la investigación, que se ha llevado a cabo en un modelo de infección con ratones, confirman el papel de TREM1 en la defensa antifúngica del huésped frente al hongo, al determinar que la deficiencia de TREM1 en macrófagos atenúa la señalización de receptores TLR, unas proteínas también implicadas en la respuesta defensiva frente a la infección fúngica.




