El ser humano al igual que muchos otros tipos de organismos multicelulares, están compuestos por una cierta variedad de órganos, mismos que trabajan en función a cumplir con las exigencias que mantienen vivo a ese organismo. Trabajando conjuntamente, para el bienestar y estabilidad, con ciertos niveles que organizan y construyen, conformando un sistema.
Estos sistemas, los compones varios tipos de órganos, encargados, cada uno en un área y una función, es decir, en el sistema digestivo trabajan varios órganos y cada uno cumple una función específica para asegurar eficientemente los alcances del sistema en que se encuentren. Son un elemento esencial para un ser vivo complejo y multicelular. Los órganos, están compuestos por tejidos celulares, sigue leyendo el artículo para que te informes de qué es un tejido, cómo y por qué componen a los órganos.
Un tejido

La palabra tejido, puede tener diferentes tipos de definición según sea el objetivo referente, en las telas se encuentran los tejidos, también puede ser en tejidos en el cabello y por último, pero no menos importante, el tejido celular, una de las denominaciones más formales. Pero es cierto que, todos estos tipos de usos, cuentan con una cierta similitud, pues normalmente se refieren a la unión de algo, que al anclarse y entrelazarse, forman un tejido. De hecho, los investigadores desarrollan andamios de colágeno para reconstruir tejidos dañados.
Los tejidos celulares, no son más que una macro agrupación de células, si bien es cierto que no son completamente idénticas, tienen una variedad de características iguales, aunque hay casos en los que los tejidos están compuestos por un solo tipo de célula. Juntándose coordinadamente para trabajar y desarrollar una función en específico. Lo tejidos celulares, son la base morfológica de un órgano, pues está cubierto por tejido celular, están presentes en diferentes tipos de animales y plantas.
Entonces, hay un cierta estructura presente en los sistemas de órganos, evidentemente tienen la presencia de varios órganos; los órganos, están compuestos por tejidos celulares, mismos que parten de la unión de múltiples células. Cada órgano también tiene una estructura que lo denomina, ya sea su forma, color o tamaño, por ejemplo el estómago, los ojos, el corazón, el hígado y los pulmones; cada uno tiene una característica diferente e igualmente funciones específicas incomparables, pero todos trabajan con mismo objetivo, el cual es mantener la vida en el ser humano u otros seres vivos.
Tipos de tejidos

Un órgano puede estar compuesto por dos a más tejidos celulares, enfocándose en el cumplimiento de su ocupación. Como existe una variedad de células, pasa lo mismo con los tejidos, pues cada tipo de tejido celular tiene un propósito diferente, y gracias a su estudio un nuevo fármaco ayuda a la regeneración de tejidos dañados del colón, el hígado y la médula ósea. A continuación de mencionaremos los tipos de tejidos celulares que hay y la función que tienen en los diferentes tipos de órganos.
Tejido conectivo

Como su mismo nombre lo dice, este tipo de tejido celular conecta con otros tejidos. También se le conoce como matriz extracelular, fundamentada por células inmersas en la misma, normalmente se compone por células fabricante de proteínas como el fibroblasto, colágeno y elastina. Sus funciones principalmente esencial es nutrir, sostener, rellenar, como transporte metabólico, defensor del organismo y almacena ciertas sustancias. Son funciones características de este tejido celular.
Es considerado como el más abundante alrededor de todo el cuerpo humano. En él, se encuentran varios tipos de células, unas de ellas son: células inmunitarias, fibroblastos, adipocitos, células mesénquimas, células reticulares y componentes sanguíneos. También existen tipos de tejidos conectivos como:
- Tejido sanguíneos, conocido comúnmente como la sangre.
- Tejido hematopoyético, ubicado principalmente en la zona, de la medula ósea, encargado de promover y crear células sanguíneas.
- Tejido adiposo, se encarga de las funciones endocrinas y termorreguladoras.
- Tejido laxo, el más común en las vértebras.
- Tejido conectivo reticular, compuesto principalmente por colágeno tipo III
- Tejido conectivo denso fibroso, tiene como base fundamental, fibroblastos y fibras.
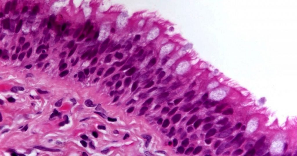
Tejido epitelial

Este tipo de tejido está compuesto por apretadas láminas celulares unidas fuertemente entre sí, arropando la superficie del órgano, la presencia de la materia extracelular en él, es muy poca, casi que escasa. Los epitelios son fuentes protectoras y reguladoras, presentes en zonas externas con niveles de vulnerabilidad, suelen clasificarse en dos tipos diferentes:
- Tejido epitelial de revestimiento, es una barra protectora que recubre, presente los vasos sanguíneos, la boca y vías respiratorias.
- Tejido epitelial glandular, contiene células especialistas en regular o eliminar sustancia útiles, inútiles o perjudiciales.
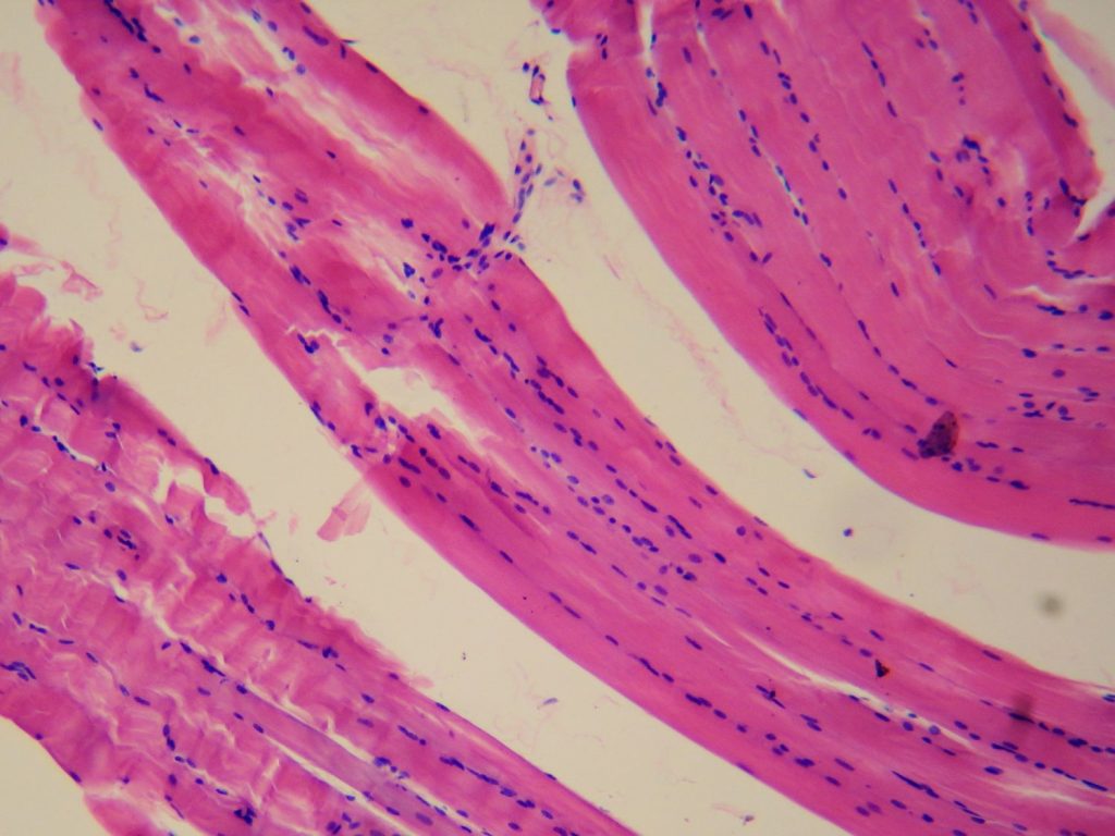
Tejido muscular

Encargado de la resistencia y movimiento de los órganos, conformado por dos tipos de células, miocitos y fibras musculares, proporcionándole la habilidad de contraerse y mantener un estado erguido. Este tipo de tejido muscular se divide principalmente en tres tipos
- Músculo esquelético, compuesto por células y fibras, alargadas y polinucleadas. Este músculo es caracterizado por estar unido al hueso o esqueleto mediante tendones.
- Músculo cardiaco, ubicado directa y únicamente en las paredes del corazón, se caracteriza por no estar bajo el control de la mente, así que trabaja por sí solo.
- Músculo liso, está presente en varios tipos de sistemas de órganos, principalmente en las paredes de del tracto digestivo, útero, vasos sanguíneas, entre otras.
Tejido nervioso

El tejido nervioso, está compuesto fundamentalmente por células tipo neuronal, la glia y células nerviosas. Encargado principalmente de crear comunicación, generando diferentes tipos de estímulos, encargados de trasladar y transmitir excitación, transportándola ágilmente de un extremo a otro. Está presente de una manera muy directa en el sistema nervioso, las neuronas son la base esencial del mismo, pues son generadoras de caracteres eléctricos denominados impulsos nerviosos.
Las señales de impulso son las provocantes de neuronas que, aceleren rápidamente y a distancias extensas, la transmisión informativa, teniendo el apoyo constante de la célula glia. El sistema nervioso usualmente se suele clasificar de dos maneras:
- Sistema nervioso central, fundamentado por la médula espinal y el cerebro, generando un control absoluto de todas las acciones del cuerpo humano.
- Sistema nervioso periférico, sustentado por ciertos nervios del sistema nervioso central, pues, trabaja como conector directo con las extremidades y órganos, estimulando de una manera rápida la comunicación a partir de múltiples receptores periféricos.




