La clamidia, una bacteria que comúnmente se asocia a infecciones de transmisión sexual, parece haber encontrado un nuevo hogar en el que asentarse: el intestino. Un equipo de investigadores de la Universidad Técnica de Berlín y la Universidad Julius-Maximilians de Wurzburgo (JMU) ha descubierto que esta bacteria puede alojarse en el intestino y utilizarlo como un nicho seguro para su supervivencia.
Después de un tratamiento antibiótico exitoso contra la clamidia, es común que las personas vuelvan a presentar infecciones por las mismas cepas bacterianas. Esto ha llevado a los expertos a sospechar que las bacterias encuentran un nicho en el cuerpo donde no son vulnerables, formando un reservorio permanente desde el cual pueden volver a activarse más tarde.
El Intestino: Un Refugio para la Clamidia
Los investigadores utilizaron organoides intestinales, estructuras producidas en el laboratorio a partir de células intestinales humanas que imitan de cerca la estructura y función del órgano real, para estudiar el comportamiento de la clamidia. Al intentar infectar estos organoides, descubrieron que la capa celular interna del intestino es muy resistente a la penetración de las bacterias, y que estas solo pueden hacerlo si el epitelio celular está dañado.
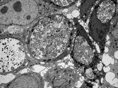
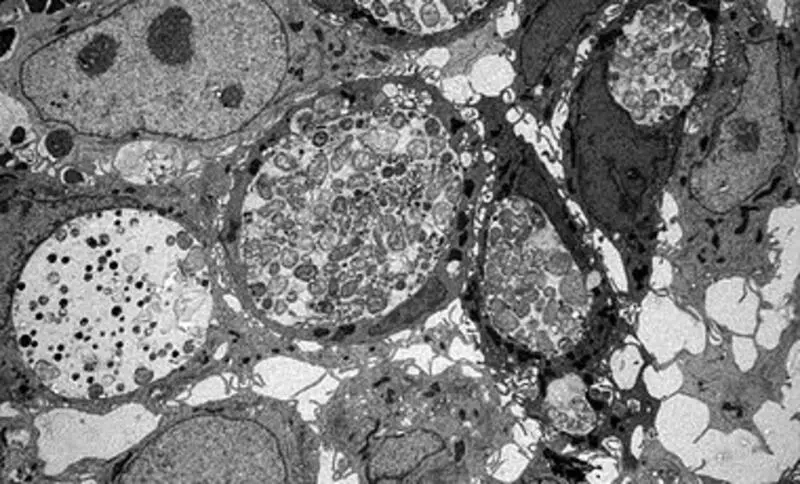
Sin embargo, cuando las clamidias acceden al intestino a través de la sangre, pueden infectar de manera muy eficiente. En estos casos, los investigadores identificaron repetidamente las formas persistentes de las bacterias, que se pueden reconocer fácilmente bajo el microscopio electrónico.
Esto sugiere que, en el cuerpo humano, la infección por clamidia y su posterior persistencia tendría más probabilidades de ocurrir a través de la vía sanguínea que a través de la parte interna del intestino. No obstante, aún se necesitan estudios clínicos para confirmar si este fenómeno se produce realmente en las personas.
Comprendiendo la Persistencia de la Clamidia
Los expertos ahora se enfocarán en investigar si la clamidia selecciona tipos específicos de células para establecer su persistencia en el intestino. Esta tarea no será sencilla, ya que el intestino está compuesto por cientos de tipos de células diferentes.
Entender cómo la clamidia logra asentarse y permanecer en el intestino es crucial para desarrollar mejores estrategias de tratamiento y prevención de las infecciones por esta bacteria. La investigación realizada por este equipo multidisciplinario abre una nueva ventana para comprender mejor la biología y epidemiología de la clamidia, con el objetivo final de mejorar la atención médica y la salud pública.







