Aunque no te lo parezca, llegará un momento en el que los humanos no existamos más. Se terminará toda la vida humana y parece ser que las epidemias y otros factores serán los causantes de tal desenlace. Por lo que solo 5 especies dominarán el mundo, cuando nosotros ya no estemos.
Especies que te van a sorprender, pero que serán las que se queden vivitas y coleando. Por lo que se encargarán de seguir poblando la tierra, a su manera, claro está. Así que, vamos a aprovechar lo que nos queda de la mejor manera posible porque desde luego lo que viene no tiene muy buena pinta, la verdad.
[nextpage title= "Hormigas"]
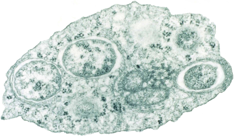
4Bacteria Wolbachia
Sin duda, las bacterias también vienen pisando fuerte de cara a un futuro. Solo 5 especies dominarán el mundo y una de ellas lleva por nombre Wolbachia. Porque en este caso estamos ante una bacteria heredada. Puede estar presente en la gran mayoría de los artrópodos, es decir en animales invertebrados como los arácnidos, crustáceos y otro tipos de insectos. Aunque hay que decir que no siempre se trata de una buena bacteria para los animales que la tienen en su organismo. Pero es cierto que en ocasiones las hembras son esta bacteria se reproducen de manera asexual sin óvulos fecundados y siempre teniendo hembras como descendencia.
Sabiendo esto, ya tenemos claro que también hará que sus especies puedan reproducir de una manera más rápida. Lo que dará lugar a más hembras que seguirán el mismo proceso. Así que, estamos ante otra de esas especies que no se darán por vencidas tan fácilmente. Lo que nos dejan bien claro que seguirán estando presentes durante muchos años más. Quien sabe si algo tan poderoso también llega a ser protagonista del mundo futuro.
[nextpage title= "Inteligencia"]





