Mantener una buena limpieza de nuestros dientes y de nuestra boca es vital para el buen funcionamiento de nuestro organismo. Y es que, no hacerlo puede provocar grandes problemas de salud.
Por ello, debemos de extremar las precauciones con nuestra higiene bucal. Descubre en el siguiente artículo las enfermedades que puedes sufrir si te cepillas mal los dientes.
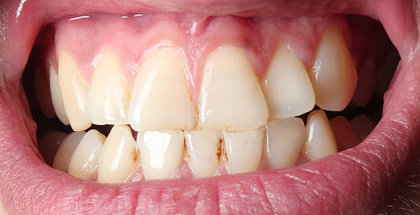
5Sarro
Cuando la placa dental permanece en boca por más tiempo, sin ser eliminada, esta se endurece y forma lo que se conoce como el sarro o cálculo dental. Al contrario que la placa bacteriana, los dientes con sarro no pueden ser limpiados con el empleo exclusivo de pasta dental.
Para eliminarlo, moja el cepillo de dientes en agua tibia. Luego, introduce el cepillo de dientes en la mezcla de bicarbonato y sal para impregnarlo. Cepilla como de costumbre, pero trata de centrarte en las zonas donde tiende a acumularse mayor cantidad de sarro. Repite, al menos, 2 veces al día, por la mañana y la noche, para obtener resultados.
