Cuando acudimos a un restaurante de comida rápida, lo más habitual es que los niños pequeños pidan nuggets de pollo. Es una comida fácil y sabrosa, además, se supone que es de pollo, por lo que debería ser más saludable que el resto de platos que ofrecen en esta clase de locales.
Pues nada más lejos de la realidad, lo cierto es que las razones por las que no deberías volver a pedir este producto en un restaurante de comida rápida serán muy obvias una vez que hayas terminado de leer lo que te dejamos a continuación. Si quieres que tus hijos coman esta comida, más vale que los prepares tú mismo, ya que lo que hay dentro te dejará de piedra, se acabaron las especulaciones.
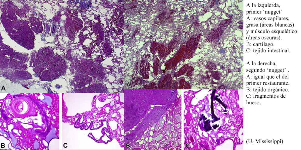
3Un estudio bajo microscopio
Hemos escuchado tantas historias sobre lo que llevan los nuggets, que hemos terminado por ignorarlas todas y seguir comiéndolos como si no hubiera un mañana. Pues bien, sí que lo hay, y puede que para entonces decidas que ya no vas a pedir más este producto. El profesor de medicina y pediatría de la Universidad de Mississipi, Richard D. deShazo tenía sus dudas, y en lugar de especular como el resto de los mortales, decidió dar un paso adelante.
En primer lugar, llamó a un buen amigo, Steven Bigler, patólogo. Juntos se propusieron revelar el verdadero contenido de los nuggets, diseccionándolos como si de la autopsia de un humano se tratara. En primer lugar, eligieron dos de diferentes restaurantes de comida rápida diferentes, de los cuales no dieron el nombre, pero en base a los que había cerca del estudio, se sospecha que uno de ellos es McDonald's.
