Nuevas investigaciones podrían mejorar las probabilidades de que las personas con trastorno obsesivo-compulsivo (TOC) reciban una terapia que realmente funcione para ellos, algo que implica a más de un tercio de los que actualmente reciben tratamiento para el TOC.
El estudio, realizado en la Universidad de Michigan (Estados Unidos), sugiere la posibilidad de predecir cuál de los dos tipos de terapia ayudará a los adolescentes y adultos con TOC: una que los exponga al tema específico de sus pensamientos obsesivos y conductas compulsivas, o una que se centre en la reducción del estrés general y un enfoque de resolución de problemas.
Aunque los investigadores advierten que es demasiado pronto para que su trabajo sea utilizado por los pacientes y los terapeutas de salud mental, están planificando y llevando a cabo más estudios que pondrán a prueba el marco y verán si también se aplica a los niños con TOC o tendencias obsesivas.
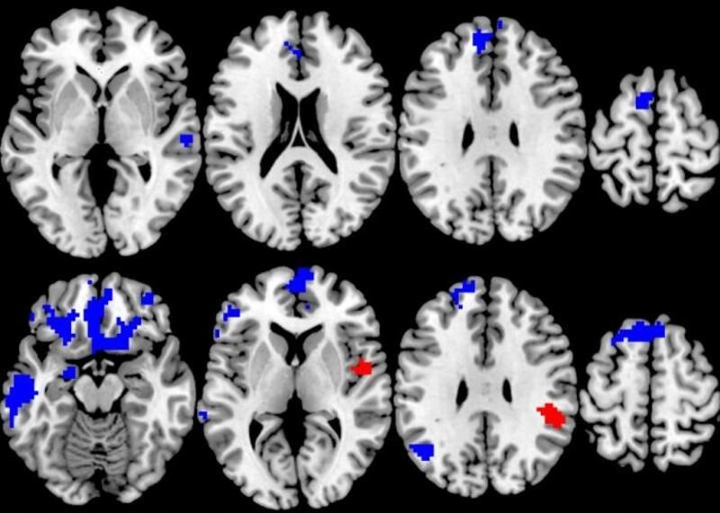
El nuevo estudio, publicado en la revista 'American Journal of Psychiatry', examina los escáneres cerebrales avanzados de 87 adolescentes y adultos con TOC de moderado a severo que fueron asignados al azar a 12 semanas de uno de los dos tipos de terapia.
Los investigadores hallaron que, en general, ambos tipos de terapia redujeron los síntomas que experimentaban los participantes. El enfoque conocido como "terapia de exposición", una forma de terapia cognitivo-conductual o TCC, fue más eficaz y redujo los síntomas más a medida que pasaba el tiempo, en comparación con la terapia de manejo del estrés o TSM.
Pero cuando los investigadores analizaron los escáneres cerebrales realizados antes de que los pacientes comenzaran la terapia y los relacionaron con la respuesta al tratamiento individual, encontraron patrones sorprendentes.
Los escáneres cerebrales se tomaron mientras los pacientes realizaban una simple tarea cognitiva y respondían a una pequeña recompensa monetaria si hacían la tarea correctamente.
Los que empezaron con más activación en los circuitos cerebrales para procesar las demandas cognitivas y la recompensa durante las pruebas tenían más probabilidades de responder a la TCC, pero los que empezaron con menos activación en esas mismas áreas durante las mismas pruebas tenían más probabilidades de responder bien a la TSM.
"Encontramos que la forma de terapia más específica para el TOC, la que se basa en la exposición al foco de la obsesión y la compulsión, era mejor para aliviar los síntomas, lo que en sí mismo es un valioso hallazgo de esta comparación aleatoria cara a cara de dos opciones de tratamiento. Pero cuando observamos el cerebro para ver qué había detrás de esa respuesta, encontramos que cuanto más fuerza tenían los pacientes en ciertas áreas del cerebro, más posibilidades había de responder a la TCC basada en la exposición", explica la líder del estudio, Stephan Taylor.




