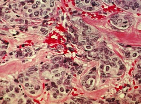
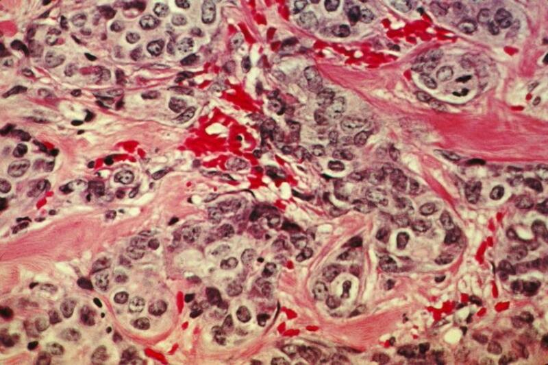
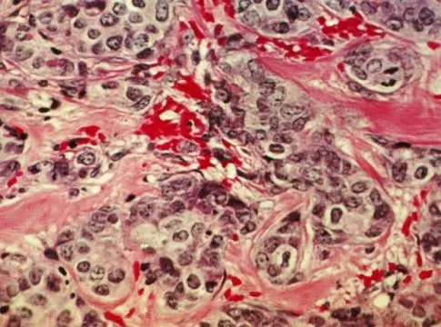
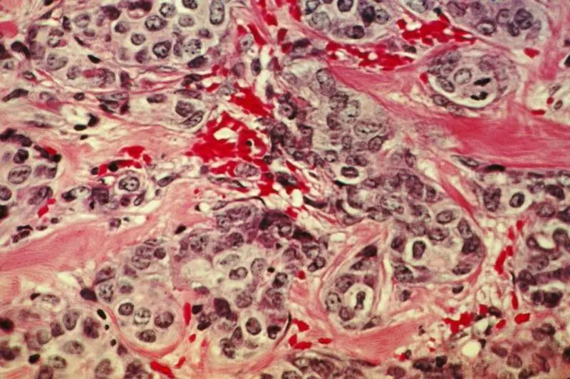
La Unidad de Investigación Clínica de Cáncer de Mama del Centro Nacional de Investigaciones Oncológicas (CNIO) ha realizado un estudio clínico que confirma por primera vez que la fibrosis en tumores de mama HER-2 negativo se asocia a un pronóstico adverso. Este hallazgo abre la puerta a nuevos tratamientos con fármacos antifibróticos.
El equipo del CNIO, dirigido por Miguel Ángel Quintela, ha publicado el estudio en la revista 'Clinical Cancer Research'. El cáncer de mama HER-2 negativo es el más frecuente, y se caracteriza por tener pocas cantidades de una proteína que contribuye al crecimiento de las células tumorales. Pese a este rasgo común, el desarrollo de los tumores HER-2 negativo varía entre pacientes, por lo que clasificarlos con más detalle permitiría determinar el mejor tratamiento en cada caso.
Desarrollo de una Nueva Prueba de Diagnóstico
El estudio evalúa una nueva prueba denominada 'MeCo Score', que analiza la actividad de alrededor de mil genes en tejidos de tumores de mama HER-2 negativo en estados iniciales, centrándose específicamente en los genes cuya expresión se relaciona con la fibrosis.
La prueba, desarrollada por la compañía MeCo Diagnostics, una spin-off de la Universidad de Arizona (Estados Unidos), establece una escala para los resultados. El estudio ha verificado que, cuanto más alta es la puntuación, mayor presencia de fibrosis y mayores probabilidades de recaída y/o metástasis.
Una Opción de Tratamiento Innovadora
'MeCo Score' también contempla una opción innovadora de tratamiento. Sus resultados indican la efectividad que puede tener sobre esos tumores complementar la quimioterapia convencional con un medicamento que actualmente se utiliza contra la fibrosis pulmonar idiopática, el nintedanib.
Según Quintela, primer autor del trabajo, "esta es la primera vez que un fármaco con actividad antifibrótica demuestra una actividad, pero además muy potente, en cáncer".
La colaboración del CNIO en este trabajo surgió porque el grupo de Quintela había realizado en 2014 un estudio en el que se aplicó nintedanib a unas 130 pacientes de cáncer de mama. Cuando el grupo liderado por Gus Mouneimne en el Centro de Cáncer de la Universidad de Arizona indagaba la capacidad del nintedanib para reducir la fibrosis de los tumores de mama, vio que el de Quintela había sido el único estudio del mundo realizado con pacientes.
Según los autores, "esta estrategia define una vía hacia paradigmas de tratamiento más personalizados y de menor coste para el cáncer de mama y representa la primera aplicación clínica de éxito dirigida a la fibrosis tumoral en oncología".




