La gingivitis es una enfermedad bucal que afecta a las encías y al sistema oral.
Suele ser frecuente tanto en niños como en adultos, por lo que se debe tratar a tiempo para evitar problemas a futuro.
Con síntomas leves, el mismo paciente puede identificar esta enfermedad periodontal. Al estar frente a esta problemática, se recomienda asistir a un dentista profesional, quien determinará la raíz del problema y la solución más adecuada para cada paciente.
En Madrid, la Clínica Dental en Madrid Ruiz de Gopegui es especialista en diagnosticar este tipo de enfermedades periodontales y proporcionar un tratamiento que elimine los molestos síntomas y proporcione un sistema oral limpio y sano.
Causas, signos y síntomas de la gingivitis
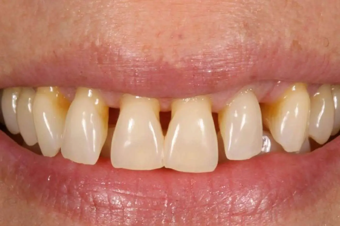
Una encía sana suele ser firme y tiene la peculiaridad de tener un color rosa pálido y estar bien sujeta los dientes. Pero con el paso del tiempo y los malos hábitos, esta comienza a perder su estética sana, desarrollando la gingivitis.
Esta es una patología leve que afecta directamente a las encías, provocando irritación, enrojecimiento y sangrado.
En líneas generales, la placa bacteriana que no se elimina con el proceso del cepillado comienza a crear el típico sarro dental. Cuando este no es eliminado, las bacterias comienzan a penetrar en las encías, generando una molesta inflamación, enrojecimiento, pérdida del tono rosado natural, sangrado y halitosis.
Existen diferentes causas de la gingivitis y la principal es la mala higiene. Cuando no se mantiene una rutina de limpieza dental que elimina las bacterias, como el uso de un irrigador bucal, cepillos interproximales y limpieza constante, las bacterias se proliferan en la boca. Igualmente, los malos hábitos alimenticios generan más bacterias, así como el consumo de tabaco.
Es importante mencionar que algunas enfermedades como la diabetes también se asocian como factor de riesgo en la gingivitis, es por ello que las personas que la sufren deben estar en constante cuidado con un dentista.
También, los cambios hormonales aumentan la generación de enfermedades periodontales; de hecho, la gingivitis es común en la etapa del embarazo.
Tratamientos para tratar gingivitis en Madrid
Ahora bien, dependiendo del daño que haya provocado la gingivitis, el equipo de especialistas de la Clínica Dental Ruiz de Gopegui establece un tratamiento personalizado.
Con un primer diagnóstico, logran identificar hasta qué punto ha llegado la enfermedad y cuál es la opción adecuada para cada paciente. Entre las más utilizadas se encuentra la profilaxis dental, la cual es una limpieza dental profesional en la que se eliminan las bacterias, el sarro y la placa que se encuentra presente en los dientes.
En los casos más complejos, donde la gingivitis no se trató a tiempo, se puede realizar un alargamiento coronario en el que se expone el diente para eliminarla definitivamente.
En cada procedimiento, los dentistas ofrecen información clave para que el paciente aplique buenos hábitos de higiene bucal en casa, lo que elimina la posibilidad de que la gingivitis vuelva a aparecer.





