Si bien la falta de vitamina D no es un padecimiento como tal, sí es un factor de riesgo que influye en la aparición de diversas enfermedades. No obstante, su relación muchas veces se pasa por alto, a pesar de que existe un gran número de receptores que cumple funciones en el sistema nervioso muscular e inmunitario.
En esas, la importancia de la vitamina D se ha convertido en algo fundamental para mantener una salud correcta en todo momento, y que se hace muy bien para no padecer problemas mucho más graves de lo que podríamos padecer si esta vitamina está con nosotros. Ahora bien, ¿qué enfermedades podemos padecer si nos falta la vitamina D? Lo repasamos.
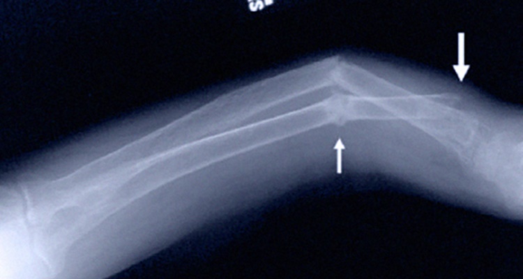
8El trastorno de la osteomalacia: el músculo se debilita y los huesos se vuelven frágiles
Con ella, y en conjunto con la osteoporosis o el mencionado ratiquismo que hemos visto, su carencia de puede aparecer también en enfermedades como la osteomalacia, el cual un trastorno en el que los huesos se vuelven más delgados y se presenta en adultos (rara vez en niños).
Es una enfermedad donde el músculo se debilita y los huesos se vuelven frágiles. Estos huesos, en parte sin vitaminas, pueden provocar una inclinación durante el crecimiento, especialmente en los huesos de las piernas que soportan el peso. Al mismo tiempo, esa osteomalacia en los adultos mayores puede provocar fracturas.
