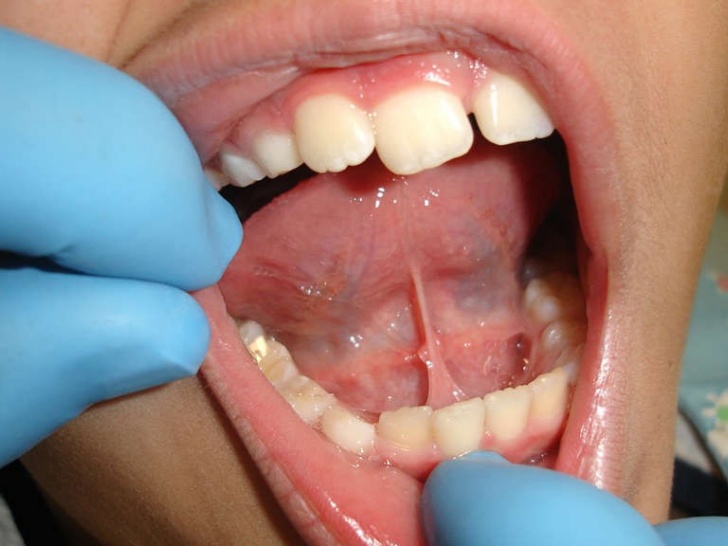
El frenillo es un pliegue vertical de mucosa que une la parte delantera de la lengua al suelo de la boca. Se dice que cuando el frenillo lingual es más corto de lo normal tiende a limitar los movimientos de la lengua y no se puede tocar el paladar o el labio superior.
También se dice que cuando el frenillo es corto, también tiende a unir la lengua en una posición demasiado adelantada.
Lea TAMBIÉN: QUÉ ES EL BODY PUMP
El frenillo como pequeñas bandas de tejido fibroso muscular y en ocasiones mixto que son recubiertos con una membrana mucosa, algunas veces generan problemas por el tamaño.
En etapas tempranas, presenta una longitud un poco corta y un grosor muy fino, pero se desarrolla paulatinamente con el paso del tiempo. Sin embargo, cuando eso no ocurre puede generar complicaciones como anquiloglosia lingual.
La anquiloglosia lingual es el desarrollo deficiente del frenillo es decir que este es más corto de lo normal.
Al nacer, los niños presentan un frenillo corto que se desarrolla con el paso del tiempo y gracias a ello, la lengua puede realizar los movimientos necesarios para hablar, masticar o deglutir. Cuando hay un frenillo anormal, tiende a existir complicaciones.
Tipos de frenillo
Toda persona tiene tres tipos; frenillos labiales superiores e inferiores que se encuentran entre los dos incisivos centrales, y el frenillo lingual que es el que se sitúa en la parte media de la lengua.
Complicaciones por el frenillo
En cuanto a las complicaciones derivadas del frenillo lingual corto tenemos dificultad en el habla, deglución y otros.
- Alimentación deficitaria
En el caso de niños lactantes, el hecho de tener el frenillo corto dificulta la succión, no podrá alimentarse con normalidad, generando problemas de crecimiento, molestias en la digestión y ansiedad.
El problema de succión también genera consecuencias para la madre, pues esto puede generar la escasa o ausencia de leche, es decir padecer de hipogalactia.
Otra complicación derivada de esto, es que al contar con un frenillo corto el niño no succiona bien. Esto ocasiona que el niño realice una fuerza desmedida para extraer leche. Pero solo genera la aparición de grietas e isquemias por fuerte succión.
Algunas madres incluso tienden a padecer de inflamación de glándulas mamarias.
Cuando el niño tiene una edad más avanzada, el frenillo corto ocasiona que el simple hecho de mover la lengua sea un proceso molesto. Molestias que se extienden cuando mastica y deglute los alimentos.
- Problemas de oclusión
Como es sabido cada niño en la primera etapa tiene un paladar estrecho y gracias a los movimiento linguales se abre de manera paulatina. En caso que el frenillo corto imposibilite el movimiento de lengua, se genera un desarrollo anómalo de la estructura maxilofacial y ocasionará problemas de oclusión.
Mayormente cuando la estructura maxilofacial no se desarrolla bien, el niño tiende a respirar por la boca en lugar de respirar por la nariz. Estos casos siempre desatan problemas alérgicos, rinitis o infecciones como bronquitis o neumonía.
- Dificultades en el habla
Un frenillo corto dificultará la pronunciación de algunos fonemas que precisan de la colocación de la lengua en el cielo del paladar.
¿Cómo detectar anomalías?

Para detectar anomalías en cuanto a la longitud del frenillo, se debe examinar el grado de movilidad de la lengua. El especialista deberá evaluar si el paciente es capaz de realizar movimientos simples como alcanzar el paladar o el labio superior con la punta de la lengua.
Por otra parte, también es posible sospechar que el paciente tiene un frenillo corto si presenta los siguientes síntomas:
- Paladar muy estrecho, dando lugar a maloclusiones , apiñamiento dental, rotaciones de las piezas dentarias.
- Retrognatia, una mandíbula inferior con una posición atrasada con respecto al maxilar superior.
- Pequeñas úlceras en los incisivos inferiores ocasionadas por el roce constante de la lengua, aftas, ampollas e incluso desgarros en las encías.
- Presencia de un diastema en los dos dientes incisivos inferiores.
- Constantes ruidos producidos por la lengua como chasquidos.
¿Qué hacer ante las complicaciones?

El tratamiento ante las complicaciones que ocasionan el frenillo corto depende del grado de severidad del caso.
En aquellos casos en los que la longitud es ligeramente inferior, solo será necesario acudir a un logopeda que paute una serie de ejercicios destinados a suplir la falta de movilidad de la lengua.
Mientras que en los casos más severos, será necesario una cirugía menos bajo anestesia local. Este procedimiento es conocido como frenectomía lingual.
La frenectomía es un procedimiento quirúrgico sencillo y el que no suele derivar mayores complicaciones. Sin embargo, es importante tener en cuenta que en algunas ocasiones puede provocar inflamación en la zona o pequeñas hemorragias.
Casi siempre los especialistas que tratan los frenillos cortos dejan en claro que es importante acudir a revisión luego de una semana de la cirugía. Esto para verificar que todo esté en orden, haya una cicatrización correcta y no exista complicaciones.




