Un hombre de 50 años y de origen chino estuvo a punto de perder las vida tras introducir en su cuerpo una anguila viva “para curar su estreñimiento”.
El paciente cuya identidad no ha sido revelada se introdujo el animal por el ano, el pez atravesó los intestinos y acabo atrapado en el abdomen antes de morir, informa ‘Daily Mail’.

Tras padecer fuertes dolores abdominales el hombre fue ingresado en el Hospital Huangjiang, en Dongguan (China), donde tuvo que ser intervenido de urgencia.
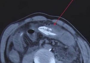
"Sospechábamos que había un objeto extraño en su cavidad abdominal por una tomografía computarizada que se le realizó al paciente, pero no podíamos saber de dónde venía", comentó uno de los especialista que atendió a la víctima.
Los médicos encontraron una anguila de 40 centímetros de largo, y con el "grosor de un pulgar adulto", comentó el cirujano.

El paciente confesó a los médicos que había introducido la anguila por su ano para tratar de poner fin a sus problemas intestinales.
"La anguila entró por el ano, el recto y pasó al colon", explicó el especialista.



