Tras la llegada del Covid – 19 al planeta muchas han sido las personas de distintas edades, condición social, y sexo que han sido afectados por el.
He incluso hay quienes la han padecidos en más de dos ocasiones, volviéndose algo persistente en sus vidas por meses, recordemos entonces que este virus afecta órganos y con el ello el incremento de sufrir secuelas a largo plazo. Por eso la UGT reclama el reconocimiento de la Covid Persistente como enfermedad.
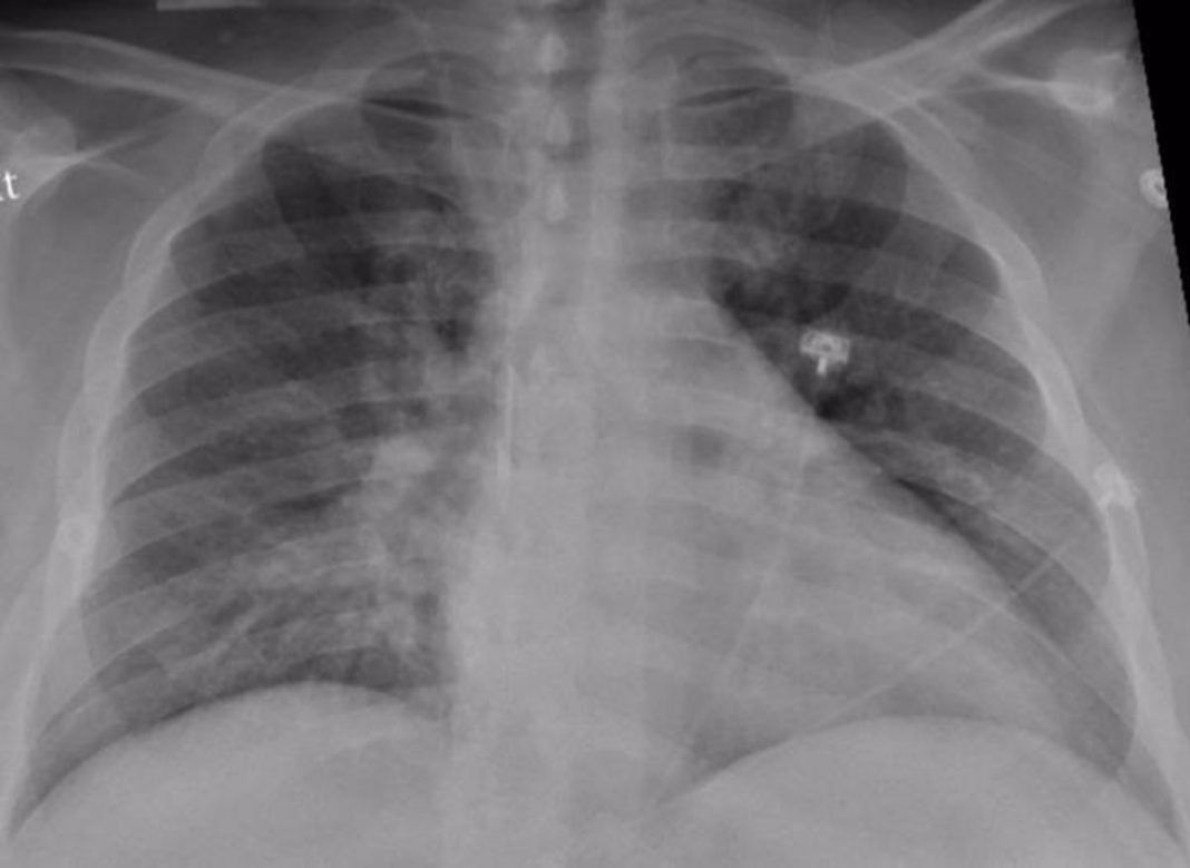
6¿La Covid Persistente daña a los órganos?
Sin lugar a dudas, el Covid es una afección que afecta primeramente a los pulmones, pero sus daños no se limitan a ese órgano porque también muchos otros tales como: corazón, riñones y cerebro, lo que sin lugar a dudas de ser persistentes en el tiempo, puede causar daños mayores a los mismos y complicaciones.
Esta persistencia del Covid, pueden incluir secuelas en los órganos mencionados, manifestándose problemas tales como: problemas respiratorios por mucho tiempo, problemas cardíacos, afecciones renales crónicas, accidente cerebrovascular, síndrome de Guillain-Barré (parálisis temporal) e incluso síndrome inflamatorio multisistémico donde los órganos y tejidos se inflaman de manera grave





