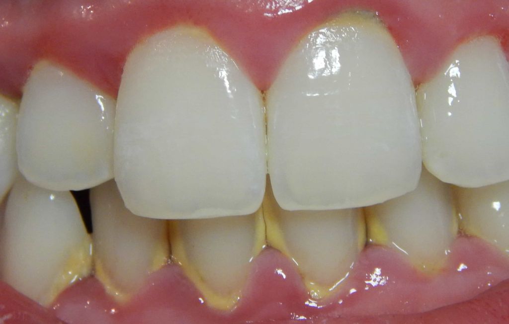
El sarro, también llamado tártaro o cálculo dental, es el endurecimiento de la placa bacteriana debido al depósito de minerales. Por lo general, esto ocasiona que los dientes tengan un aspecto poco atractivo, con una coloración amarillenta o marrón y, en el límite entre las encías y los dientes, los residuos pueden tener un color incluso más oscuro. Por ende, se percibe como una especie de costra sobre dicha área.
Se trata de una sensación incómoda, poco saludable para nuestra boca y muy antiestético. Por ese motivo, aquí te explicamos algunos remedios y recetas que pueden serte de utilidad para eliminar el sarro de tu boca.
3Consecuencias e inconvenientes de tener sarro

El sarro en nuestra boca no es solo un inconveniente estético, sino que puede causar o agravar otros problemas de salud. El sarro favorece la gingivitis, que es la inflamación e irritación de las encías. También produce mal aliento o halitosis, causado por un tipo de bacterias que producen compuestos sulfurados.
Crea asimismo caries, ya que las bacterias del sarro debilitan el esmalte dental. En caso de que el sarro se acumule bajo las encías, es posible que genere periodontitis. En los casos más extremos puede degenerar en enfermedades sistémicas, pues se ha asociado a problemas cardiológicos como el infarto o accidentes cerebrovasculares.